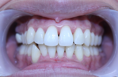
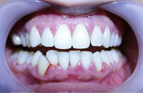
On parle de maladie parodontale lorsque les tissus de soutien de la dent sont infectés.
La gingivite et la parodontite sont les deux maladies parodontales et sont la plupart du temps d’origine infectieuse. La prise en charge rapide est essentielle car le développement de la maladie conduit à une mobilité de la dent et au déchaussement.
LA GINGIVITE
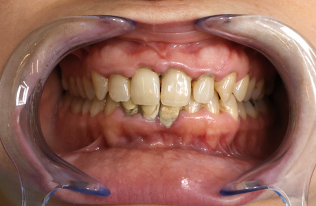
La gingivite est le premier stade de la maladie parodontale. La jonction gencive-dent est colonisée par des bactéries qui déclenchent une inflammation de la gencive. Rouge, gonflée et douloureuse, la gencive se décolle de la dent et le tartre s’accumule sous la gencive. A un stade avancé et en l’absence de traitement, la gingivite évolue en parodontite.
LA PARODONTITE
Au stade de la parodontite, la destruction porte alors sur l’os de la mâchoire et les ligaments de soutien qui ancrent les dents (ligament alvéolo dentaire). Des poches parodontales se forment et les bactéries s’y accumulent, avec plus ou moins de pus. A terme, le déchaussement de la dent peut amener la perte de celle-ci, accompagnée parfois d’une collection purulente très douloureuse.
Nos échanges avec les internautes
Loïse
Publié le mars 5, 2026
Je pensais que mes dents étaient condamnées à cause d’une parodontite sévère diagnostiquée ailleurs. Grâce au suivi rigoureux de l’équipe parodontale de Sana Oris, nous avons réussi à stabiliser la perte osseuse. Le traitement a été précis et très professionnel. Je garde mes dents et j’ai retrouvé une gencive saine. Un immense merci pour cette expertise
Sana Oris
Publié le mars 12, 2026
Merci beaucoup pour votre témoignage
Alexia
Publié le février 28, 2026
Bonjour, je souffre d’épilepsie et dois par conséquent prendre un traitement (actuellement la Dépakine Chrono). Dans le cadre de soins d’une parodontie, y aurait-il une contre-indication à la désinfection LASER dans mon cas ? Merci pour votre réponse.
Sana Oris
Publié le mars 3, 2026
Bonjour,
Il nous est difficile de vous apporter une réponse catégorique. De manière générale, la principale contre-indication du laser chez les patients épileptiques concerne les stimuli lumineux visibles et répétés.
Dans notre pratique parodontale, nous utilisons un laser diode intra-oral, muni d’une fibre insérée directement dans la bouche. Il n’y a donc pas d’exposition visuelle au faisceau lumineux, le patient ne voyant à aucun moment le laser en action.
Cela étant, chaque situation médicale est particulière. Par principe de précaution, il est préférable de demander l’avis de votre médecin traitant ou du spécialiste qui vous prescrit votre traitement, afin de valider l’absence de contre-indication dans votre cas précis.
Bien à vous.
Chanelle
Publié le février 27, 2026
Je souffrais de saignements gencives importants et j’ai découvert que j’étais atteint d’une parodontite. Grâce au protocole de traitement du cabinet Sanaoris surfaçage radiculaire et laser, mes gencives ont retrouvé leur santé et j’ai évité le risque de déchaussement et de perte de mes dents. L’équipe est très experte et explique chaque étape du traitement avec une clarté totale. Un vrai soulagement
Maurane
Publié le février 18, 2026
Je recommande vivement l’équipe de parodontie. J’avais les gencives qui saignaient et une peur bleue de perdre mes dents déchaussement. Le bilan parodontal a été très complet et le traitement LASER a fait des miracles : c’est indolore et les résultats sont là. Une clinique à la pointe de la technologie
Claudine
Publié le janvier 23, 2026
Je remarque que mes gencives saignent lors de chaque brossage depuis plusieurs semaines. Je me demande donc si un simple détartrage suffit à ce stade ?
Sana Oris
Publié le février 6, 2026
Bonjour,
Merci pour votre message. Non — lorsque les gencives saignent de façon répétée depuis plusieurs semaines, un simple détartrage n’est généralement pas suffisant. Ce saignement est souvent le signe d’une inflammation gingivale ou d’un début de maladie parodontale, liée à la présence de bactéries sous la gencive, invisibles lors d’un détartrage classique.
Dans ce cas, un bilan parodontal est nécessaire afin d’évaluer précisément l’état des gencives et de l’os, puis de mettre en place un traitement adapté (désinfection en profondeur si besoin). Cela permet de traiter la cause réelle du saignement, et pas seulement ses conséquences.
Une consultation permettra d’établir un diagnostic précis et un plan de prise en charge personnalisé.
N’hésitez pas à prendre rendez-vous : Doctolib ou en appelant notre secrétariat (01 82 73 14 00 – Paris 08 / 01 80 27 44 00 – Paris 04).
Bonne journée
Jennyfer
Publié le janvier 22, 2026
Mes dents paraissent plus longues et je souffre de récession gingivale. Vous expliquez que ce processus est irréversible. Une fois que le traitement de désinfection est terminé, existe-t-il des solutions pour protéger la racine exposée et stopper définitivement la progression ? Est-ce que le brossage électrique est recommandé dans mon cas ?
Sana Oris
Publié le février 6, 2026
Bonjour,
Merci pour votre message. En effet, une fois la maladie parodontale traitée et stabilisée, il est possible de proposer des solutions pour protéger la racine exposée, notamment grâce à des techniques de chirurgie muco-gingivale comme la greffe gingivale, qui permettent de recouvrir la racine et de renforcer durablement la gencive. Lorsque l’infection est éliminée et que l’hygiène est maîtrisée, la récession ne progresse plus.
Concernant le brossage électrique, il peut être utilisé, à condition d’opter pour une brosse avec capteur de pression et d’adopter une technique douce, sans appuyer, afin de respecter les tissus gingivaux. Lors de la consultation, nous vous expliquons précisément les gestes adaptés à votre situation.
Une consultation permettra d’évaluer votre situation clinique et de vous proposer un plan de traitement personnalisé.
N’hésitez pas à prendre rendez-vous : Doctolib ou en appelant notre secrétariat (01 82 73 14 00 – Paris 08 / 01 80 27 44 00 – Paris 04).
Bonne journée
Laurence
Publié le décembre 28, 2025
Bonjour acceptez vous la cmu
Sana Oris
Publié le janvier 2, 2026
Bonjour,
Oui, nous acceptons la CMU. En revanche, les traitements de parodontie ne sont pas pris en charge par la CMU et restent donc à la charge du patient.
Un devis détaillé est systématiquement établi avant toute prise en charge.
Bonne journée.
Neyla
Publié le décembre 13, 2025
Je suis en train de faire des recherches sur les différentes approches pour traiter ma gingivite chronique qui commence à s’aggraver. L’utilisation du laser en parodontie est-elle une option courante pour la décontamination des poches profondes ? Est-ce que le traitement parodontal au laser offre de meilleurs résultats en termes de régénération tissulaire ou de confort post-opératoire par rapport à un surfaçage radiculaire traditionnel ?
Sana Oris
Publié le décembre 16, 2025
Bonjour,
Les maladies parodontales sont liées à une infection bactérienne. Notre prise en charge repose donc sur une approche médicale globale, dont l’objectif est d’éliminer durablement ces bactéries et de contrôler l’inflammation.
Le traitement associe systématiquement un traitement médicamenteux, une décontamination minutieuse et un accompagnement précis sur les techniques de brossage et d’hygiène, indispensables à la stabilité des résultats.
Le laser est utilisé en complément du traitement, afin d’optimiser la décontamination et le confort, mais il ne constitue jamais le traitement à lui seul : ce n’est pas le laser qui fait tout, c’est l’approche médicale globale.
Un examen clinique permet de définir le protocole le plus adapté à votre situation et d’agir efficacement sur le long terme.
Pour toute information complémentaire ou pour prendre rendez-vous, vous pouvez passer par Doctolib ou contacter notre secrétariat
(01 82 73 14 00 – Paris 08 / 01 80 27 44 00 – Paris 04).
Nous restons à votre disposition.
Elyssa
Publié le décembre 12, 2025
Je suis préoccupée par les saignements chroniques de mes gencives, que vous identifiez comme un signe de gingivite. Si je consulte dès les premiers signes de saignement et de gencive gonflée, le traitement se limite-t-il en général à un simple détartrage professionnel ou faut-il déjà envisager une intervention plus poussée (comme le surfaçage radiculaire) pour éviter la progression vers la parodontite et la menace de mobilité de la dent ? Merci
Sana Oris
Publié le décembre 16, 2025
Bonjour,
Les saignements chroniques des gencives sont liés à une infection bactérienne. Dans notre approche, le principe du traitement est le même dès les premiers signes : éliminer les bactéries responsables de l’inflammation afin de stopper l’évolution de la maladie.
Ce n’est donc pas la nature du traitement qui change selon le stade, mais le nombre de séances, adapté à l’importance de l’infection. Une prise en charge précoce permet d’agir efficacement et de préserver la santé des gencives et la stabilité des dents sur le long terme.
Un examen clinique permet de définir précisément le protocole le plus adapté à votre situation.
Pour toute information complémentaire ou pour prendre rendez-vous, vous pouvez passer par Doctolib ou contacter notre secrétariat
(01 82 73 14 00 – Paris 08 / 01 80 27 44 00 – Paris 04).
Nous restons à votre disposition.
Astrid
Publié le novembre 20, 2025
J’ai remarqué une récession gingivale assez marquée sur l’une de mes incisives. concernant la greffe de gencive, étant donné qu’il s’agit d’une dent antérieure, quel est le résultat esthétique attendu ? Est-ce que le tissu du greffon sera intégré parfaitement et aura la même couleur que la gencive adjacente pour éviter toute différence visible ?
Sana Oris
Publié le décembre 3, 2025
Bonjour,
Sur une dent antérieure, l’objectif d’une greffe de gencive est à la fois fonctionnel et esthétique. Dans la grande majorité des cas, le résultat obtenu est très naturel.
Le tissu prélevé s’intègre progressivement à la gencive existante. Au fil de la cicatrisation, la couleur et la texture du greffon deviennent de plus en plus proches de la gencive adjacente, ce qui permet d’éviter les différences visibles. Bien sûr, le rendu final dépend de plusieurs facteurs : la cause de la récession, la qualité du tissu environnant et la technique employée.
Avant d’envisager une greffe, nous vérifions également que la cause de la récession est bien contrôlée (inflammation, brossage traumatique, malposition dentaire…), car c’est indispensable pour garantir un résultat stable et harmonieux.
Une consultation permettra d’évaluer précisément votre situation et de vous expliquer le résultat attendu dans votre cas.
Vous pouvez prendre rendez-vous via Doctolib ou en appelant notre secrétariat (01 82 73 14 00 – Paris 08 / 01 80 27 44 00 – Paris 04).
Nous restons à votre disposition.
Capucine
Publié le octobre 21, 2025
Bonjour,
Utilisez-vous la méthode Bonner?
Sana Oris
Publié le décembre 3, 2025
Bonjour,
Oui, nous travaillons avec la Méthode Bonner au sein de notre établissement. Tous nos praticiens en parodontie l’appliquent afin d’assurer une prise en charge médicale, rigoureuse et personnalisée de la santé gingivale.
Si vous souhaitez réaliser un bilan parodontal ou une consultation, vous pouvez prendre rendez-vous via Doctolib ou en appelant notre secrétariat (01 82 73 14 00 – Paris 08 / 01 80 27 44 00 – Paris 04).
Nous restons à votre disposition.
Elise
Publié le septembre 25, 2025
Depuis plusieurs semaines, j’ai commencé à ressentir une légère douleur au niveau de la mâchoire, en particulier en mâchant ou lors du brossage des dents. J’ai également remarqué que certaines de mes dents bougent légèrement, ce qui m’inquiète davantage. Je crains que ces symptômes soient liés à la parodontologie, comme une perte osseuse autour des dents. Je me demande donc : l’imagerie spécialisée en parodontie permet-elle de poser un diagnostic précis et de prendre les mesures appropriées à temps ?
Sana Oris
Publié le décembre 3, 2025
Bonjour,
Les symptômes que vous décrivez — douleurs à la mastication, gêne à la brosse à dents et légère mobilité — peuvent effectivement être en lien avec un problème parodontal. Pour confirmer cela et comprendre l’origine exacte, l’imagerie joue un rôle essentiel dans le diagnostic.
En parodontologie, nous utilisons une imagerie spécifique (radiographies ciblées, panoramique, ou imagerie 3D si nécessaire) qui permet :
• d’évaluer précisément l’état de l’os de soutien,
• de visualiser la présence éventuelle de pertes osseuses,
• de mesurer l’étendue de l’atteinte,
• et de planifier un traitement adapté avant que la situation n’évolue.
Cette imagerie fait partie du bilan parodontal complet, réalisé en complément de l’examen clinique et de la mesure des poches autour des dents. C’est ce bilan global qui permet de poser un diagnostic fiable et d’agir rapidement pour stabiliser la situation.
Si vous souhaitez faire le point sur ces symptômes, vous pouvez prendre rendez-vous via Doctolib ou en appelant notre secrétariat (01 82 73 14 00 – Paris 08 / 01 80 27 44 00 – Paris 04).
Nous restons à votre disposition.
Cyntia
Publié le septembre 10, 2025
J’observe des saignements fréquents au niveau des gencives, ce qui m’inquiète un peu car ils sont accompagnés de rougeurs, de gonflements et de sensibilité. Je crains qu’il ne s’agisse d’une inflammation. Est-il nécessaire de consulter un parodontologue à ce stade précoce ? Quelles sont les examens ou traitements qui peuvent aider à prévenir l’évolution de la maladie ? Merci
Sana Oris
Publié le décembre 3, 2025
Bonjour,
Les symptômes que vous décrivez — saignements, rougeurs, gonflement et sensibilité — correspondent effectivement aux premiers signes d’une inflammation gingivale. À ce stade, il est important de consulter, car une prise en charge précoce permet d’éviter l’évolution vers une maladie parodontale plus avancée.
Lors du rendez-vous, nous réalisons un bilan parodontal complet, qui comprend :
• un examen clinique précis des gencives,
• la mesure des poches parodontales,
• un bilan radiographique pour évaluer l’état de l’os de soutien.
Ce bilan permet d’établir un diagnostic clair et d’adapter le traitement en fonction de la cause. Dans la majorité des cas, la prise en charge repose sur un assainissement parodontal, associé à des conseils personnalisés sur l’hygiène et des contrôles réguliers pour stabiliser durablement la situation.
Une intervention précoce est la meilleure façon de préserver la santé des gencives.
Vous pouvez prendre rendez-vous via Doctolib ou en appelant notre secrétariat (01 82 73 14 00 – Paris 08 / 01 80 27 44 00 – Paris 04).
Nous restons à votre disposition.
Nessrine
Publié le août 22, 2025
Après des années à négliger la santé de mes gencives, j’ai enfin décidé de consulter à la Clinique Sana Oris pour un problème de déchaussement dentaire. Dès la première visite, j’ai été prise en charge avec beaucoup de sérieux et de bienveillance. J’ai suivi un traitement complet en parodontologie, incluant un nettoyage en profondeur et des conseils personnalisés pour mieux entretenir ma bouche au quotidien. Maintenant, mes dents sont plus stables, mes gencives beaucoup plus saines, et je me sens rassurée. Un grand merci à toute l’équipe de Sana Oris
Délia
Publié le août 1, 2025
J’ai consulté à la Clinique Sana Oris après avoir remarqué des saignements fréquents et une sensibilité au niveau des gencives. On m’a diagnostiqué un début de maladie parodontale. Le traitement a été pris en charge rapidement avec un nettoyage en profondeur et un suivi rigoureux. En quelques semaines, mes gencives allaient déjà beaucoup mieux : moins d’inflammation, plus de confort au quotidien, et un vrai sentiment de soulagement
Christa
Publié le juillet 22, 2025
J’ai récemment souffert d’une gingivite et j’ai commencé à remarquer des rougeurs et un léger saignement lors du brossage. Cela m’a fait craindre une évolution vers une parodontite, alors j’ai décidé de consulter un spécialiste pour une séance de décontamination au laser. Mais je me demande : est ce que ce type de traitement au laser contribue réellement à réduire les poches parodontales sur le long terme ? Merci à vous
Sana Oris
Publié le décembre 3, 2025
Bonjour,
Le laser peut être utilisé en complément dans certains cas, mais il ne constitue pas un traitement suffisant à lui seul pour réduire durablement les poches parodontales. Son action permet parfois de diminuer l’inflammation ou de faciliter la décontamination, mais l’évolution à long terme dépend surtout d’une prise en charge parodontale complète : diagnostic précis, assainissement mécanique, contrôle de la plaque, et suivi régulier.
En cas de gingivite ou de suspicion de parodontite débutante, la priorité est d’identifier la cause, d’évaluer la profondeur des poches et d’adapter le traitement en conséquence. Une consultation permet de déterminer si un traitement parodontal médical est nécessaire et quelles options seront les plus efficaces pour stabiliser la situation sur le long terme.
Vous pouvez prendre rendez-vous via Doctolib ou en appelant notre secrétariat (01 82 73 14 00 – Paris 08 / 01 80 27 44 00 – Paris 04).
Nous restons à votre disposition.
Ron
Publié le mars 30, 2025
Bonjour, J’ai récemment consulté un parodontiste à Paris qui m’a recommandé un traitement, et j’aimerais cependant obtenir d’autres devis et avis sur le nombre de séances nécessaires.
Sana Oris
Publié le mars 31, 2025
Bonjour,
Pour établir un devis en parodontie, une première consultation est nécessaire. Celle-ci correspond à un bilan parodontal, qui permet d’évaluer l’état de vos gencives et de déterminer le traitement le plus adapté, ainsi que le nombre de séances nécessaires. Nous vous invitons à prendre rendez-vous afin d’étudier votre situation en détail. Vous pouvez prendre rendez-vous directement sur Doctolib ou de contacter notre secrétariat par téléphone au 01 82 73 14 00 (Paris 08) – 01 80 27 44 00 (Paris 04).
Bonne journée
Mansouri
Publié le novembre 12, 2024
Bonjour j’ai des problèmes de dents et gencive. Je voulais faire un devis. Merci
Sana Oris
Publié le novembre 18, 2024
Bonjour,
Pour obtenir un devis en parodontie, il est indispensable de réaliser un bilan parodontal. Cela permet au praticien d’évaluer l’état de l’infection et son étendue, afin de vous proposer un traitement adapté et de vous fournir un devis personnalisé. Vous pouvez directement prendre rendez-vous via Doctolib ou bien en appelant notre secrétariat au : 01 80 27 44 00 – Paris 04 / 01 82 73 14 00 – Paris 08.
Bonne journée
Jean
Publié le juillet 2, 2024
Je souhaiterais faire un nettoyage complet et redresser mes dents et en extraire si possible
Sana Oris
Publié le juillet 3, 2024
Bonjour,
Merci de l’intérêt que vous portez à notre Clinique, en revanche la prise de rendez-vous se fait directement sur Doctolib ou bien en appelant notre secrétariat au 01 80 27 44 00 – Paris 04 ou 01 82 73 14 00 – Paris 08.
Bonne journée
Sanja
Publié le mars 20, 2024
Bonjour
Mon dentiste préconise une greffe pour combler la gencive d’une de mes dents qui est plus découverte que les autres.
Je n’ai pas de problème avec les os de mes dents, simplement la gencive qui s’est rétractée à de nombreux endroits, visiblement suite à un brossage trop agressif. J’ai l’impression que mes gencives étaient déjà dans cet état il y a une dizaine d’années et j’ai alors modifié mon brossage suite à ce constat. Depuis, j’utilise une brosse à dents électrique et je n’ai pas le sentiment que mes gencives se soient rétractées plus qu’elles ne l’étaient déjà.
Est-ce que la greffe de gencive est indispensable ?
Sana Oris
Publié le mai 22, 2024
Bonjour,
La nécessité d’une greffe de gencive dépend effectivement de la gravité de la récession gingivale. Si la récession est minime, il s’agit principalement d’un problème esthétique. Cependant, si elle s’aggrave ou qu’elle est jugée trop importante, cela peut exposer la racine de la dent, entraînant une sensibilité accrue et un risque de carie ou d’autres complications.
Pour évaluer précisément votre situation, il serait préférable de prendre rendez-vous pour une consultation en implantologie. Lors de cette première consultation, nous pourrons analyser l’état de vos gencives et déterminer si une greffe est nécessaire ou non.
Bonne journée
Gustavo
Publié le février 10, 2024
Bonjour, je vous remercie sincèrement pour les informations détaillées fournies sur votre site web concernant les concepts de la parodontologie, y compris notamment la distinction entre la gingivite et la parodontite ainsi que le rôle d’un parodontiste. Avant de consulter votre site, je n’avais aucune idée de la différence entre ces termes. Votre explication claire et concise m’a beaucoup aidé à mieux comprendre ces sujets !
Halima
Publié le février 10, 2024
Bonjour, j’ai 59 ans et il me manque 4 grosses dents, en plus de 3 autres qui bougent. J’ai des problèmes de gencives et de dents. Mon dentiste m’a dit qu’il n’y a rien à faire pour soigner la parodontite, car l’os de mes gencives est usé et mes dents se déchaussent. Y a-t-il des traitements qui pourront m’aider dans cette situation ? Merci d’avance
Sana Oris
Publié le février 22, 2024
Bonjour,
Je comprends votre préoccupation concernant vos problèmes de gencives et de dents. Dans les cas de parodontite avancée, où l’os des gencives est usé et les dents se déchaussent, il est crucial de prendre des mesures pour traiter efficacement la maladie parodontale.
Tout d’abord, il est possible de traiter la parodontite de manière approfondie afin d’éliminer les bactéries parodontales responsables de l’infection. Cela implique souvent un nettoyage approfondi des poches parodontales et une désinfection de la zone affectée. Dans les cas où l’os des gencives est gravement endommagé, une greffe osseuse peut être envisagée. Cette procédure vise à reconstituer et à renforcer l’os autour des dents affectées.
Il est important de consulter un parodontiste pour évaluer votre cas spécifique et élaborer un plan de traitement adapté à vos besoins. Avec les traitements appropriés et une bonne hygiène bucco-dentaire, il est possible de stabiliser la parodontite et de prévenir une progression ultérieure de la maladie.
Vous pouvez directement prendre rendez-vous sur Doctolib ou bien en appelant notre secrétariat au : 01 80 27 44 00 – Paris 04 / 01 82 73 14 00 – Paris 08.
Bonne journée
Manele
Publié le janvier 9, 2024
Bonjour dr, mes gencives sont enflées, rouges vif et enflammées, puis-je commencer des soins des gencives spécifiques tels que des soins contre la gingivite ou parodontite sur ces rougeurs enflammées ? Merci bien.
Sana Oris
Publié le février 5, 2024
Bonjour,
Face à vos symptômes, je vous recommande vivement de prendre rapidement rendez-vous avec l’un de nos parodontologues. D’après vos symptômes, il semble que vous souffriez d’une gingivite ou d’une parodontite. Pour évaluer le stade de l’infection et vous proposer un traitement adapté à votre cas, il est essentiel de réaliser un bilan parodontal. Nous vous encourageons donc à effectuer cette démarche dans les plus brefs délais. Vous pouvez directement prendre rendez-vous sur Doctolib ou bien en appelant notre secrétariat au : 01 80 27 44 00 – Paris 04 / 01 82 73 14 00 – Paris 08.
Bonne journée
Touria
Publié le janvier 8, 2024
Bonjour Dr, pour éliminer le tartre et effectuer un comblement osseux, est-ce que le traitement laser de parodontite est une option efficace dans mon cas ? Merci par avance.
Sana Oris
Publié le février 5, 2024
Bonjour,
Le traitement au laser est en effet une option efficace pour traiter les infections parodontales telles que la parodontite. Cependant, pour éliminer le tartre, un détartrage conventionnel est souvent plus recommandé. De même, pour réaliser un comblement osseux, la greffe osseuse est une option appropriée. Je vous recommande vivement de prendre rendez-vous avec l’un de nos chirurgiens dentistes afin qu’il puisse analyser votre cas spécifique et vous fournir une réponse détaillée ainsi qu’une option de traitement adaptée à vos besoins.
Bonne journée
Oury
Publié le décembre 4, 2023
J’ai été suivie avec traitement sur la parodontose et à ce jour j’ai toujours autant mal ,sansation de brûlure énorme ,mauvais goût dans la bouche et la bouche toujours sèche un manque de salive .Cela fait 1 an et je ne supporte plus ces douleurs
Cordialement
Sana Oris
Publié le décembre 7, 2023
Bonjour,
Au vu de ce que vous me dites, il semble que le traitement utilisé pour traiter votre parodontite n’ait pas été approprié ou n’ait pas produit les résultats escomptés. Je vous suggère de prendre rendez-vous avec l’un de nos parodontistes en contactant directement notre secrétariat : 01 80 27 44 00 – Paris 04 / 01 82 73 14 00 – Paris 08, ou en utilisant Doctolib. Nos cliniques disposent d’un pôle dédié à la parodontie, avec des parodontologues exclusivement dédiés à cette discipline. Lors de la première consultation, un bilan parodontal sera réalisé pour analyser l’infection et évaluer son étendue en vue d’un traitement personnalisé adapté à votre situation. Il est crucial de prendre en charge la parodontite dès que possible afin de prévenir d’éventuelles complications ou une propagation accrue des bactéries parodontales, pouvant entraîner une perte osseuse significative.
Bonne journée
Serge
Publié le octobre 11, 2023
Bonjour
Si j’ai bien compris, le prix du parodontiste couvre la consultation et non le traitement, et le prix de dépend de sa nature, durée, etc. ?
Avec me conseiller quelle mutuelle parodontie ou dentaire de façon générale?
Sana Oris
Publié le octobre 17, 2023
Bonjour,
Certainement, le coût du bilan parodontal s’élève à 120€. Ce bilan vise à évaluer l’état de votre santé parodontale. À la suite de ce bilan, vous recevrez un plan de traitement personnalisé, accompagné d’un devis détaillé qui précisera les tarifs du traitement, son déroulement, et autres informations pertinentes. En ce qui concerne les mutuelles, ma capacité à vous aider est limitée, car de nombreux facteurs entrent en jeu, tels que vos besoins et votre budget. Il est possible de trouver d’excellentes mutuelles dans le domaine dentaire, mais elles peuvent offrir une couverture limitée dans d’autres domaines. Tout dépend de vos besoins spécifiques. Je vous encourage à comparer plusieurs mutuelles en fonction de vos priorités et exigences.
Bonne journée
Martin
Publié le octobre 8, 2023
Bonsoir
En quelle mesure la parodontie peut bénéficier du remboursement ?
Sana Oris
Publié le octobre 9, 2023
Bonjour,
Je vous suggère de vérifier auprès de votre mutuelle si elle couvre les traitements en parodontologie.
Bonne journée
Olivier
Publié le octobre 8, 2023
Bonsoir
Quel est le prix de consultation de votre parodontiste ? Merci
Sana Oris
Publié le octobre 9, 2023
Bonjour,
En parodontologie, la première consultation consiste en un examen parodontal visant à évaluer votre santé parodontale (bilan parodontal), à détecter d’éventuelles infections, et à prendre des mesures en conséquence. Le coût de cet examen parodontal est de 120€.
Bonne journée
raissi
Publié le septembre 21, 2023
j’ai un déchaussement sachant que j’ai l ostéoporose et mes dents bougent !
Clemence
Publié le septembre 4, 2023
Bonjour doc, je suis une fille âgée de 29ans, je suis sous traitement d’orthodontie et je voulais savoir s’il est possible de suivre un traitement contre la parodontie avec le laser sans aucun souci ?? Je vous remercie par avance
Sana Oris
Publié le septembre 5, 2023
Bonjour,
Je comprends vos préoccupations, cependant, il est essentiel de noter qu’avant d’envisager tout traitement dentaire, qu’il s’agisse d’esthétique ou d’orthodontie, il est crucial de vérifier la santé buccale, en particulier en ce qui concerne les infections et les maladies parodontales. La présence d’une parodontite pourrait avoir un impact sur les résultats de votre traitement orthodontique. À l’avenir, je vous encourage à envisager une évaluation parodontale avant d’envisager tout traitement dentaire, qu’il soit esthétique, orthodontique, ou autre. Cette démarche vise à prévenir toute perturbation potentielle du bon déroulement du traitement, à garantir sa durabilité, et à faciliter son processus. Je vous conseille de prendre rendez-vous avec un parodontiste pour faire un bilan parodontal afin de connaitre l’étendu de l’infection et de savoir quel traitement sera le plus approprié en fonction de votre cas. Je vous invite aussi à en parler à votre orthodontiste afin qu’il puisse travailler en collaboration avec le parodontiste pour trouver un moyen de coordonner les traitements afin qu’ils ne s’entravent pas.
Bonne journée
Jessica
Publié le juillet 6, 2023
Bonjour docteur, je suis âgé de 35 ans et je souffre d’une maladie parodontale, perte osseuse et un recul des gencives. J’ai déjà subi un surfaçage, mais la maladie est réapparue trois ans plus tard. Je crains que mes dents tombent. Maintenant, je suis intéressé par un traitement au laser pour la parodontite et j’aimerais connaître le prix svp ?
Sana Oris
Publié le juillet 12, 2023
Bonjour,
Dans votre cas, je vous conseille de rapidement prendre rendez-vous pour une première consultation avec un de nos experts en parodontie, nous avons une équipe de praticiens dédiés exclusivement à la parodontie. Durant cette consultation, le praticien analysera votre cas et vous présentera ensuite un plan de traitement adapté à votre cas personnel (en fonction du stade de l’infection, etc). La tarification vous sera alors communiquée à ce moment-là car chaque cas est différent.
Bonne journée
Justine
Publié le juillet 6, 2023
Bonjour, docteur. Comment puis-je savoir si j’ai une parodontite plutôt qu’une simple inflammation des gencives ou une gingivite? Quels symptômes distinguent ces deux cas?
merci à vous.
Sana Oris
Publié le juillet 12, 2023
Seule une consultation avec un expert en parodontologie pourra vous donner une réponse précise, car il est important de savoir que l’infection est très sournoise. Dans beaucoup de cas le patient n’a pas conscience du stade de l’infection car il a peu voir pas de symptômes, les symptômes sont différents pour chaque personne.
Sana Oris
Publié le juillet 12, 2023
Bonjour,
Voici un article répondant à votre question sur notre blog dentaire : https://www.sanaoris.com/actualites/gingivite-ou-parodontite/. Pour faire simple, la parodontite fait suite à la gingivite, il s’agit d’un stade plus avancé puisque l’infection gagne également l’os qui soutient les dents.
Bonne journée
Germain
Publié le janvier 10, 2023
Bonjour, On vient de me détecter une parodontite aigue, bref un déchaussement important des dents : mes dents perdent leur os ce qui conduit à une mobilité des dents. Quel traitement parodontologie pour soigner ce cas ?
Sana Oris
Publié le janvier 30, 2023
Bonjour
Il est important de consulter pour un bilan parodontal rapidement. Un traitement adapté avec des séances de désinfection pourra être proposé. L’objectif est de soigner la cause infectueuse de la maladie parodontale.
Mauricette
Publié le janvier 9, 2023
Bonjour, dans le cas d’un problème de parodontite avancé et pour lequel les traitements naturels ne suffisent pas, et qu’un surfaçage radiculaire n’est pas parvenu lui non plus à éliminer le tartre sous-gingival (j’ai toujours des poches parodontales) que pensez-vous d’un traitement au laser ou de la chirurgie parodontale ?
Sana Oris
Publié le janvier 30, 2023
Bonjour,
Pour soigner la maladie parodontale, il faut éliminer la cause infectueuse (les bactéries). Un surfacage simple ne sera donc pas suffisant.Le traitement de désinfection laser permet de résoudre le problème à la source.
Pascale
Publié le janvier 3, 2023
Bonjour, Je viens de lire votre post et je suis très intéressée par plus de renseignements. Pour guérir la parodontite, quels sont les meilleurs traitements ? cordialement
Sana Oris
Publié le janvier 30, 2023
Bonjour
L’objectif des traitements parodontaux est de guérir la cause infectueuse. Des traitements de desinfection laser, combinés à une bonne hygiene permettent répondre à cet enjeu.
Je vous invite à rencontre un parodontiste pour un bilan parodontal complet puis un plan de traitement. Vous pouvez prendre rendez-vous au 01 82 74 14 00.
Georgette
Publié le décembre 27, 2022
Bonjour, Quelle est la solution la plus efficace pour prévenir la parodontie dentaire ? Je vous remercie par avance.
Sana Oris
Publié le janvier 3, 2023
Bonjour
Notre vision est qu’il faut traiter la maladie parodontale comme une maladie infectueuse et donc éliminer les bactéries grâce à un protocole médical précis et des séances de désinfection laser.
Armel
Publié le novembre 25, 2022
Bonjour, j’ai une parodontite, gingivite, les dents qui se déchaussent. Je n’ai pas beaucoup d’os, peut on me poser des implants ?
Sana Oris
Publié le janvier 3, 2023
Bonjour
Il conviendra dans un premier temps de soigner la parodontite. Ensuite la pose d’implant sera surement possible. Si nécessaire une greffe osseuse pourra être proposée. Avant de prendre rendez-vous pour la pose d’implant je vous conseille de prendre rendez-vous pour un bilan parodontal.
Nawelle
Publié le août 18, 2022
Bonjour l etablissement est il conventionné?
Léontine
Publié le août 4, 2022
Bonjour, quelle mutuelle prend en charge la parodontite ?
Christina
Publié le juillet 21, 2022
Bonsoir, quelle est la bactérie responsable de la parodontite ?
Michèle
Publié le juillet 11, 2022
Êtes vous conventionnés . Dans quelle mesure peut on être remboursé des soins ? Merci
Sana Oris
Publié le octobre 12, 2022
Bonjour
Notre établissement est conventionné. Le prix de certains actes est pris en charge par la sécurité sociale. D’autres peuvent l’être par votre mutuelle.
Bien à vous
Vanessa
Publié le juillet 10, 2022
Salut, les pathologies dentaires et parodontales sont-elles contagieuses ? Merci d’avance pour votre réponse
Sophia
Publié le juin 24, 2022
Bonjour, Je suis une femme allaitante, il est possible pour moi de suivre un traitement pour une maladie parodontale ?
Sana Oris
Publié le juillet 6, 2022
Bonjour,
Tout à fait. L’allaitement n’est pas une contre indication. Vous pouvez toutefois mentionner cela a votre dentiste.