Sana Academy

Devenez expert en parodontologie et transformez la santé gingivale de vos patients

Nous vous accompagnons pas à pas pour maîtriser la parodontologie moderne.

prochaine formation

Le 30, 31 mars & 1er avril 2026 à Paris

Séminaire sur la santé parodontale, présenté par le Dr. Mark Bonner et le Dr. Julie Demoulin

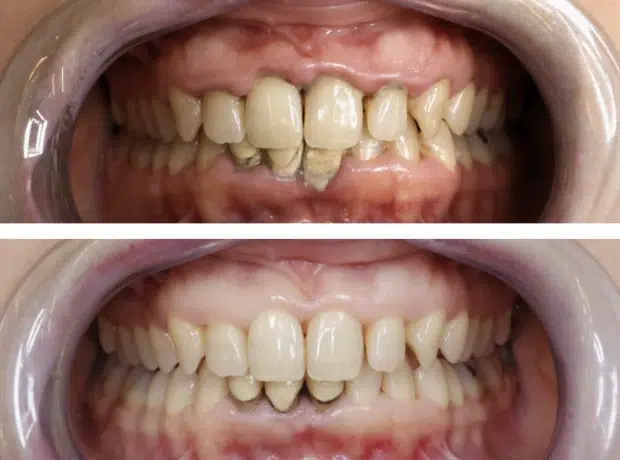
LA MÉTHODE BONNER

La méthode du Dr Mark Bonner offre un traitement efficace et sans douleur de la parodontite, même pour les cas sévères, sans recourir à la chirurgie.

  • Ce protocole assure une amélioration rapide de l’état gingival, avec 95 % des patients ne présentant plus de poches de plus de 3 mm et sans saignement après traitement.*
  • Nos résultats démontrent une guérison parodontale comprise entre 95-100 % pour la moyenne des patients.*
  • Cette approche, adoptée par plus de 1 250 praticiens en France, garantit un retour à un microbiote sain, exempt de microbes pathogènes.*
Inscrivez-vous

Une approche microscopique

L’approche microscopique confirme sans détour votre diagnostic, l’évolution du traitement et la guérison complète. Cet outil est au coeur de l’approche développée par le Dr. Bonner.

pré-traitement

Les parasites dans la parodontite active regorgent d’une dizaine de noyaux de PMN ingurgités, laissant sans défense le système immunitaire du patient.

post-traitement

Sous microscopie, le biofilm de santé présente maintenant une flore commensale immobile exempte d’inflammation : le reflet d’une santé parodontale parfaite obtenue à coup sûr.

pré-traitement

Les parasites dans la parodontite active regorgent d’une dizaine de noyaux de PMN ingurgités, laissant sans défense le système immunitaire du patient.

post-traitement

Sous microscopie, le biofilm de santé présente maintenant une flore commensale immobile exempte d’inflammation : le reflet d’une santé parodontale parfaite obtenue à coup sûr.

CONTENU DU SÉMINAIRE

Cours théorique et pratique pour les praticiens et leur personnel

01

bloc 1 : les principes de la parodontologie médicale

La parodontologie médicale nous amène une toute nouvelle perspective sur la maladie parodontale, pourquoi ? Théorie microbienne et paradigmes médicaux.

02

bloc 2 : les agents infectieux

Entamoeba gingivalis, Trichomonas tenax, Candida albicans, des agents infectieux dans la parodontite ? Comment passer à l’action pour que tous les patients retrouvent un biofilm de santé.

03

bloc 3 : La microscopie en parodontologie

La microscopie, une ressource unique pour un diagnostic sans faille. Utilisation, prélèvement et analyse en temps réel. Les morphotypes de la flore buccale.

04

Bloc 4 : Prescriptions et posologies

Les outils thérapeutiques et leur utilisation selon le contexte. L’utilisation des désinfectants, le régime pré-traitement.

05

bloc 5 : le cheminement vers la santé

Le protocole de guérison parodontale étape par étape. Les 4 grandes composantes de la Méthode Bonner et la marche à suivre à chacun des rendez-vous.

06

bloc 6 : la transmission

Les principes de la transmission des agents pathogènes. Le contrôle de l’environnement afin d’éviter les récidives.

01

bloc 1 : les principes de la parodontologie médicale

La parodontologie médicale nous amène une toute nouvelle perspective sur la maladie parodontale, pourquoi ? Théorie microbienne et paradigmes médicaux.

02

bloc 2 : les agents infectieux

Entamoeba gingivalis, Trichomonas tenax, Candida albicans, des agents infectieux dans la parodontite ? Comment passer à l’action pour que tous les patients retrouvent un biofilm de santé.

03

bloc 3 : La microscopie en parodontologie

La microscopie, une ressource unique pour un diagnostic sans faille. Utilisation, prélèvement et analyse en temps réel. Les morphotypes de la flore buccale.

04

Bloc 4 : Prescriptions et posologies

Les outils thérapeutiques et leur utilisation selon le contexte. L’utilisation des désinfectants, le régime pré-traitement.

05

bloc 5 : le cheminement vers la santé

Le protocole de guérison parodontale étape par étape. Les 4 grandes composantes de la Méthode Bonner et la marche à suivre à chacun des rendez-vous.

06

bloc 6 : la transmission

Les principes de la transmission des agents pathogènes. Le contrôle de l’environnement afin d’éviter les récidives.

À L’ISSUE DU SÉMINAIRE VOUS SAUREZ

01

RÉALISER UN DIAGNOSTIC

Réaliser un diagnostic juste à tous les coups à l’aide des signesccliniques et de l’analyse du microbiote avec le microscope.

02

INTERVENIR DÈS LES PREMIERS SIGNES

Intervenir dès les premiers signes de la maladie et amener le patient à éviter les conséquences directes et indirectes de la parodontite.

03

PROPOSER UNE APPROCHE DE TRAITEMENT ADAPTÉE

Proposer une approche de traitement adaptée en fonction de la situation de chaque patient, sans chirurgie ou douleur.

04

Expliquer aisément la maladie

Expliquer aisément la maladie parodontale à chaque patient et les guider vers la guérison, tout en éliminant les risques de récidive.

Plus d’informations

Date de la formation

Le 30, 31 mars & le 1er avril 2026

lieu de la formation

Paris

prix de la formation

A Partir de 2 800 €

M’inscrire à la formation

EN SAVOIR PLUS SUR SANA ORIS

Les cliniques Sana Oris ont développé un véritable pôle en parodontologie. Chaque année, la clinique accueille plus de 5 000 nouveaux patients nécessitant des soins parodontaux, soulignant l’importance de cette discipline dans la santé bucco-dentaire et générale. Forte de son expérience et des résultats probants obtenus chez ses patients, la clinique illustre l’efficacité d’une approche structurée en prévention et en traitement parodontal.

C’est dans cette dynamique que Sana Oris s’associe au Dr Mark Bonner, reconnu pour son expertise en parodontologie, afin de proposer un séminaire qui conjugue théorie et pratique. Ce partenariat légitime l’ambition de transmettre des outils concrets et éprouvés, permettant à chaque praticien de bénéficier d’une démarche parodontale accessible et performante.

FAQ

À qui s’adresse la formation ?

La formation s’adresse aux chirurgiens-dentistes souhaitant enrichir leur pratique clinique, ainsi qu’aux assistantes dentaires qui souhaitent comprendre et accompagner au mieux le protocole de traitement.

Quel est l’objectif de la formation ?

L’objectif est de maîtriser une approche médicale unique, non invasive et durable de la parodontite, fondée sur la compréhension du microbiote buccal.
En 3 jours, vous apprendrez à :

  • Poser un diagnostic précis au microscope optique,
  • Éliminer les agents pathogènes,
  • Établir un protocole efficace,
  • Communiquer avec vos patients pour éviter les récidives.

Faut-il venir seul(e) ou accompagné(e) ?

Il est recommandé de venir en binôme praticien + assistant(e) pour tirer le meilleur parti de la formation et faciliter sa mise en œuvre au cabinet.

Mais vous pouvez tout à fait venir seul(e) : la formation est conçue pour être bénéfique même en individuel, et vous repartirez avec toutes les clés pour transmettre à votre équipe.

Est-ce que je dois déjà maîtriser la parodontie pour suivre la formation ?

Pas du tout.

Que vous soyez débutant en paro ou déjà expérimenté, la formation s’adapte. On vous enseigne une approche complètement différente, centrée sur la cause réelle des parodontites : les parasites buccaux.

Est-ce que c’est une formation théorique ou pratique ?

C’est une formation 100 % clinique et orientée terrain.

Vous apprendrez à lire une flore microbienne, poser un diagnostic précis et suivre un protocole thérapeutique reproductible. Cas réels, microscopie, et échanges directs avec des praticiens expérimentés.

Formulaire d’inscription

Vous pouvez vous inscrire soit : par ce formulaire d’inscription, par téléphone au 06.50.10.69.20, ou par mail sur formation@sanaoris.com

    Docteur*
    Information supplémentaire*
    Assistant(s) (non obligatoire)
    Lieux et dates*

    Merci pour votre message