Tous les soins dentaires pratiqués à la Clinique Dentaire Sana Oris | Intervertions | Paris

Les soins pratiqués

L’approche globale et spécialisée des praticiens de l’établissement dentaire Sana Oris vous permet de bénéficier d’une prise en charge complète et exhaustive, indispensable pour prévenir et diagnostiquer tous les types de problèmes auxquels votre dentition peut être exposée et qui peuvent être préjudiciables à l’harmonie de votre sourire.
Pour cela, nous proposons un plateau technique de dernière génération, au service de chirurgiens dentistes experts dans leur domaine, expérimentés et compétents. Notre objectif est de vous proposer tous les soins nécessaires à votre santé bucco-dentaire dans un même lieu et effectués par les praticiens les plus pertinents.

Au sein de notre établissement, une équipe de 5 praticiens et assistantes se consacre exclusivement à la parodontie.

Garder une bouche saine et des gencives en bonne santé, c’est s’offrir la possibilité de préserver son capital dentaire, dans un double but fonctionnel et esthétique.

Actes

Découvrez les différents soins dentaires réalisés au sein de l’établissement Sana Oris

Parodontologie / Parodontie

La parodontie médicale est la discipline qui se consacre à la prévention, au diagnostic et au traitement des maladies et la gencive et de l’os sous-jacent.

La parodontologie est important pour conserver une bouche saine, une dentition fonctionnelle et un beau sourire.

Endodontie

Le traitement endodontique permet de soigner la partie interne de la dent (la pulpe) lorsque celle-ci est atteinte et génère douleurs, abcès dentaires et infections.

Stomatologie / Chirurgie Orale

La chirurgie orale, ou odonto-stomatologie, est une spécialité qui permet de prendre en charge la plupart des problématiques osseuses, notamment les dents incluses, les kystes ou la pose d’implants dentaires.

Implants dentaires

La pose d’implants dentaires permet de pallier les problèmes d’édentation qui entachent l’harmonie d’un sourire et génèrent des problèmes fonctionnels quotidiens. Un implant dentaire est une petite vis en titane et a la forme conique d’une racine dentaire naturelle.

Orthodontie

L’orthodontie est la branche de la chirurgie dentaire qui vise à corriger les anomalies de positionnement des dents et de l’arcade dentaire, dans l’optique d’améliorer le sourire, l’occlusion dentaire et donc le rôle fonctionnel des dents, tout en favorisant l’hygiène buccale.

Esthétique du sourire

Les différentes techniques proposées par notre établissement permettent de traiter les imperfections qui altèrent la qualité de votre sourire, comme des dents jaunies, cassées, trop espacées ou mal alignées.

Pédodontie

La pédodontie est la spécialité de la dentisterie consacrée aux enfants,  généralement pour la tranche d’âge de 2 à 12 ans.

Sommaire
Soins dentaires

Pourquoi avoir recours à des soins dentaires ?

Avoir recours à des soins dentaires permet de traiter l’ensemble des affections de la cavité buccale, qu’elles soient structurelles, fonctionnelles ou esthétiques.

Nous sommes ainsi à votre disposition :

  • pour tout bilan de routine à visée préventive, avec une spécialisation dans le bilan parodontal ;
  • pour tout soin dentaire à visée thérapeutique, suite à un problème que vous éprouvez;
  • pour tout soin esthétique, pour améliorer l’harmonie du sourire selon vos propres standards.

Cette démarche holistique du soin dentaire se résume en une formule : prévenir, guérir, sourire.

Les soins dentaires proposés par l’établissement dentaire Sana Oris

Nos praticiens ont choisi de s’investir et se consacrer pleinement à un domaine de la dentisterie afin d’acquérir une expertise qui permet de servir au mieux le besoin de leurs patients. Vous y trouverez le département suivant :

  • La parodontie est la discipline qui se consacre à la prévention, au diagnostic et au traitement des maladies du parodonte : le tissu de soutien de la dent (la gencive, l’os de soutien et les ligaments) ;
  • L’implantologie est une branche de la chirurgie qui consiste à poser des implants afin de remplacer une dent manquante ;
  • La stomatologie prend en charge la plupart des pathologies touchant aux os et aux muqueuses de la bouche. Elle traite notamment les dents incluses (canine, dents de sagesse), les kystes ou la pose d’implants dentaires ;
  • L’orthodontie offre au patient la possibilité de corriger les défauts de positionnement des dents qui impliquent des défauts fonctionnels ou esthétiques ;
  • L’esthétique du sourire prend en charge tous les soins qui contribuent à harmoniser le sourire, comme le blanchiment des dents, la pose de facettes dentaires ou la pose d’aligneurs Invisalign ;
  • L’endodontie est une branche de la chirurgie dentaire qui se consacre à la partie interne de la dent, à savoir la pulpe dentaire (partie charnue) et le canal radiculaire ;
  • La pédodontie est un accompagnement psychologique, un dépistage orthodontique et des soins dentaires complets pour les enfants ;
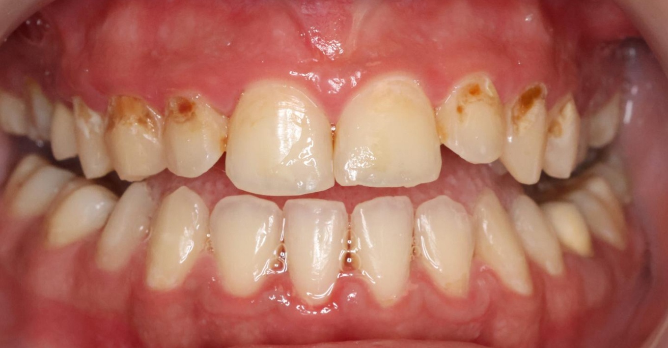
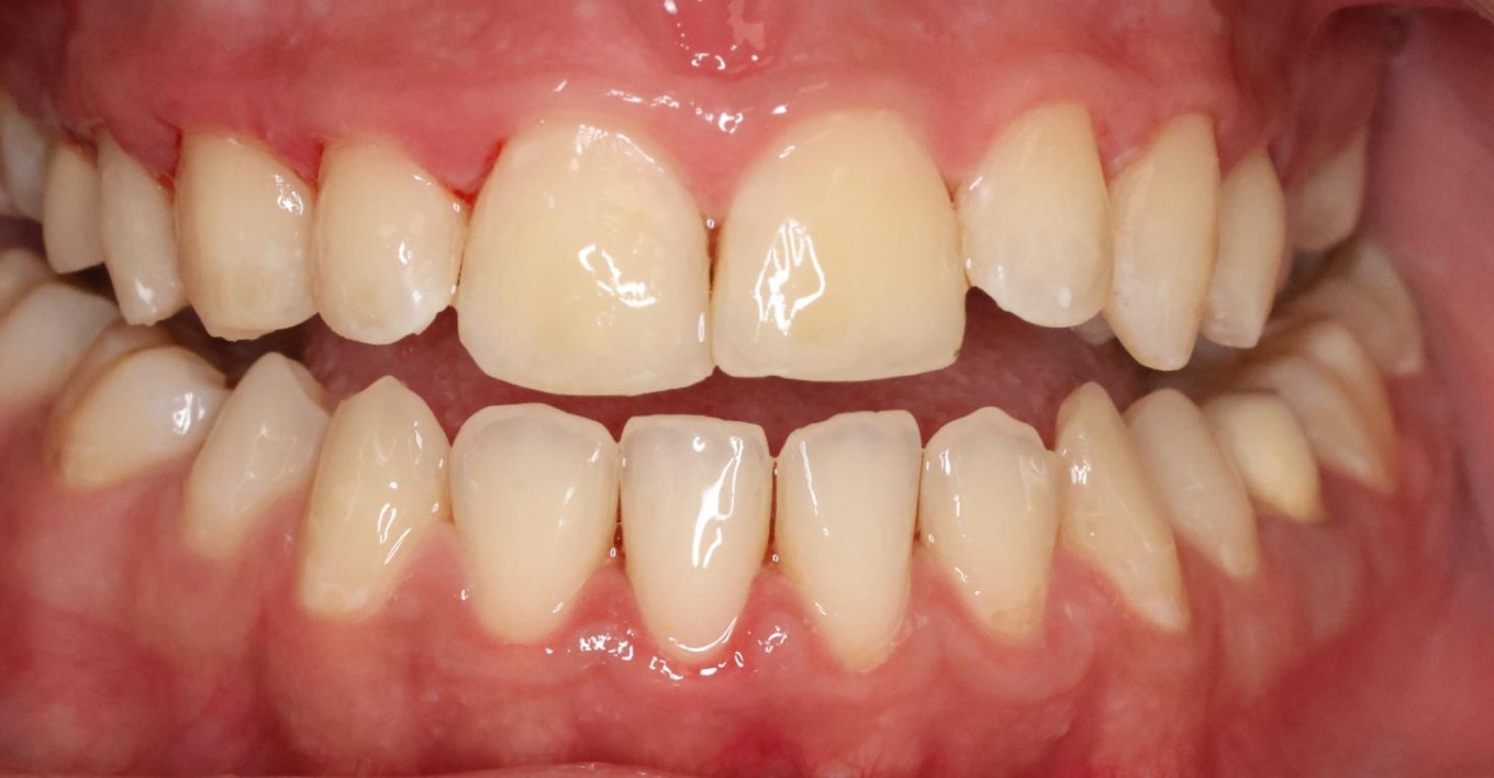
Photo avant d'un traitement de caries | Sana Oris | Paris Photo apres d'un traitement de caries | Sana Oris | Paris

Caries traités par des composites

Les prix des soins dentaires

Le tarif de chaque soin dépend de sa nature et du nombre de séances nécessaire. Nous vous communiquerons un devis sur mesure à l’issue de votre première consultation pour vous renseigner sur le coût de chaque acte.

Une question ?

Vous souhaitez avoir plus de renseignements ou prendre un rendez-vous ?
Posez votre question aux chirurgiens de l’établissement dentaire Sana Oris ou prenez un RDV