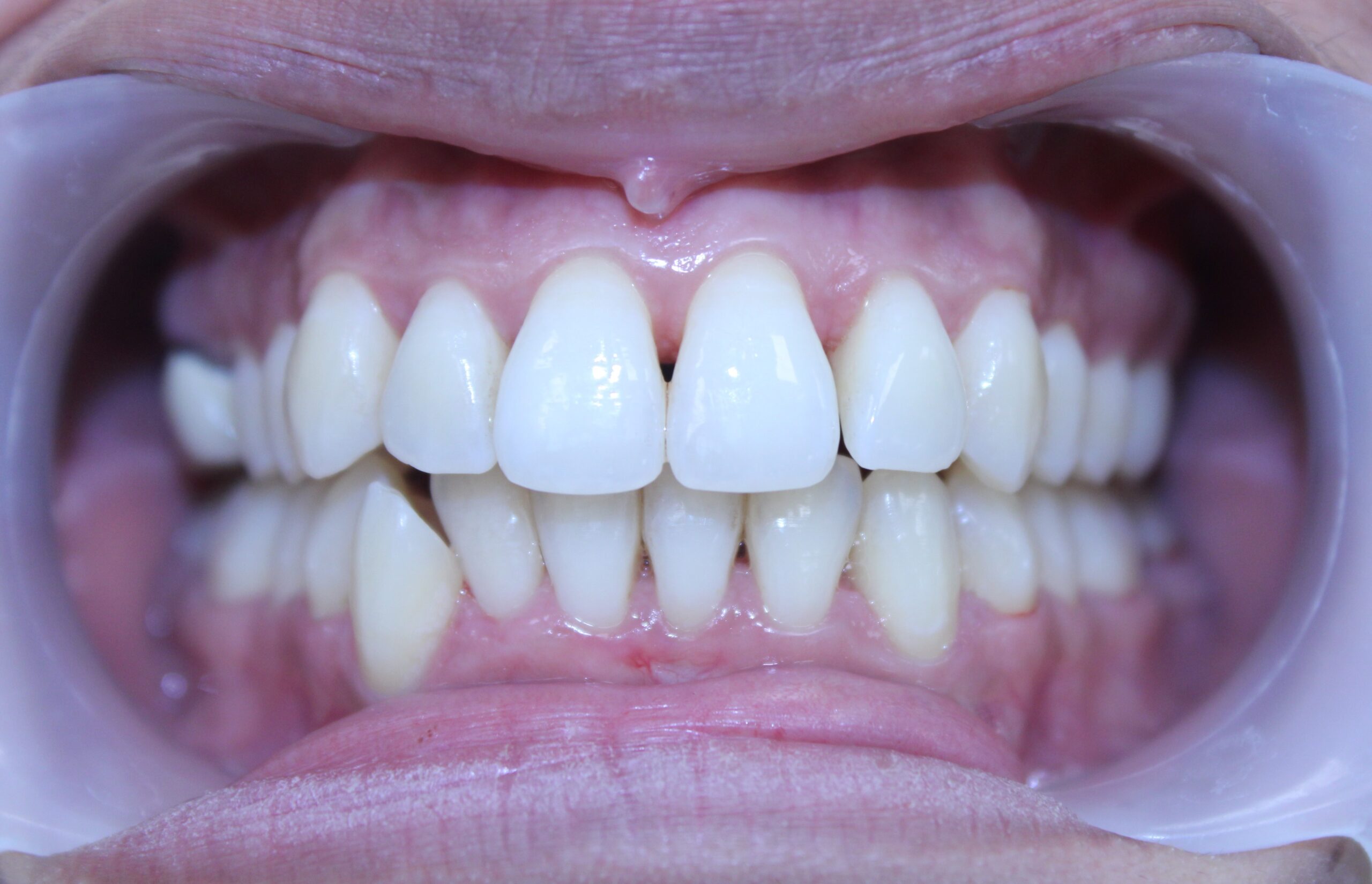
Le bilan parodontal permet d’identifier au cours de la consultation si la gencive est infectée grâce à un examen au microscope d’un prélèvement de la plaque dentaire qui permet de faire le diagnostic de la maladie parodontale.
Guérir la maladie parodontale est un préalable à de nombreux soins, notamment à l’implantologie, à l’orthodontie ou la pose de prothèses dentaires qui doit se faire sur un parodonte en bonne santé.
Si une pathologie est diagnostiquée, le praticien établira un plan de traitement ciblé et personnalisé.
Le bilan parodontal sert donc à identifier la santé de l’ensemble du parodonte afin de proposer le traitement adéquat, si besoin est.
Nos échanges avec les internautes
Gilles
Publié le octobre 26, 2025
Bonjour, Suivi par un chirurgien dentiste qui utilisait la méthode Bonner et qui a pris sa retraite, j’aurais besoin d’un nouveau chirurgien pour une maintenance parodontie. Ma dernière maintenance date de janvier 2025 dont je détiens mes mesures. Je suis conscient qu’un nouveau bilan sera nécessaire avant de pratiquer une maintenance et aimerai connaitre vos tarifs pour cet acte et le nom d’un chirurgien qui utilise la même méthode avec qui je devrai prendre un rendez-vous. Merci d’avance pour votre retour.
Sana Oris
Publié le décembre 3, 2025
Bonjour,
Merci pour votre message. Tous nos praticiens en parodontie travaillent selon la Méthode Bonner. Vous pourrez donc poursuivre votre maintenance parodontale dans la continuité de ce que vous avez déjà connu.
La prise en charge se déroule en deux étapes :
un bilan parodontal complet (anamnèse, reprise des mesures, examen clinique et, si nécessaire, imagerie), indispensable avant toute maintenance ;
puis la mise en place d’un protocole de maintenance parodontale personnalisé, en fonction de votre situation clinique actuelle.
Les tarifs varient selon le niveau d’atteinte, le nombre de séances et le protocole nécessaire. Le montant exact vous sera communiqué sous forme de devis détaillé après le bilan, avant de débuter la maintenance.
Vous pouvez prendre rendez-vous avec le praticien de votre choix via Doctolib ou en appelant notre secrétariat (01 82 73 14 00 – Paris 08 / 01 80 27 44 00 – Paris 04).
Nous restons à votre disposition.
Dallenne
Publié le février 18, 2025
Bonjour,
J’ai rendez-vous chez un parodontiste ( premier rendez-vous) j’aimerais savoir le tarif du premier rendez-vous je paierais une consultation ou directement le bilan à 120 euros ?
Merci
Dumin
Publié le janvier 17, 2025
Bonjour
J’ai une parodontite de diagnostiquée avec panoramique dentaire fait chez un dentiste. Je voulais connaître le tarif du surfacage chez vous. Haut et bas. Vous remerciant.
Elio
Publié le novembre 2, 2023
Bonjour, est ce que le prix mentionner pour le bilan parodontal complet inclu également le bilan radiographique ? merci de votre éclaircissement!
Sana Oris
Publié le novembre 30, 2023
Bonjour,
Non, il faudra compter le prix de la radiographie en plus de celui du bilan parodontal.
Bonne journée
Ludivine
Publié le octobre 3, 2023
Bonjour,
J’imagine que le bilan parodontal n’est pas pris en charge par la CPAM. Es-il possible de le payer en plusieurs fois?
Sana Oris
Publié le octobre 3, 2023
Bonjour,
En effet, la CPAM ne prend pas en charge le bilan parodontal. Cependant, je vous suggère de contacter votre mutuelle pour vérifier si une partie de ces frais peut être couverte par celle-ci. En ce qui concerne le traitement parodontal, tel que les séances de laser, il est tout à fait possible de le régler en plusieurs versements. En revanche, si vous faites référence uniquement au bilan parodontal, qui comprend un prélèvement de plaque bactérienne pour identifier la présence de bactéries parodontales et évaluer l’étendue de l’infection, il n’est malheureusement pas possible de le fractionner en paiements échelonnés. Les frais s’élèvent à 120€.
Bonne journée
Jason
Publié le septembre 17, 2023
Bonjour, je fume depuis plusieurs années et je suis préoccupé par les effets du tabagisme sur mes gencives. est-ce qu’un examen parodontal complet peut révéler des dommages liés au tabac ? merci d’avoir mentionner le prix !
Sana Oris
Publié le septembre 18, 2023
Bonjour,
Bien sûr, le bilan parodontal vous aidera à identifier la présence de bactéries parodontales, ce qui est un indicateur de maladies parodontales telles que la gingivite ou la parodontite. Le bilan parodontal implique principalement un prélèvement de la plaque dentaire. Il est a hauteur de 120€.
Bonne journée
Fabien
Publié le septembre 15, 2023
Bonjour, s’il vous plait, je suis un peu anxieux dans les analyses médicales… et je crains l’examen parodontal, y a-t-il une douleur associée, en outre existe-t-il des méthodes pour le rendre plus confortable ? merci de votre compréhension
Sana Oris
Publié le septembre 15, 2023
Bonjour,
Je compatis pleinement à vos inquiétudes, car de nombreuses personnes ressentent de l’appréhension avant de se rendre chez le dentiste. Toutefois, je tiens à vous rassurer que dans votre situation, il n’y a pas lieu de s’inquiéter, car l’examen parodontal implique essentiellement un prélèvement de votre plaque dentaire pour détecter la présence éventuelle de bactéries liées à une maladie parodontale. Il est important de noter qu’aucune douleur ni inconfort ne sont ressentis lors de cet examen. Je vous invite à consulter notre page « parodontologie » afin de vous familiariser avec le déroulement d’un bilan parodontal : https://www.sanaoris.com/parodontologie/examen-buccodentaire/#deroulement . N’hésitez pas à parler de vos angoisses à votre médecin, qu’il puisse vous rassurer.
Bonne journée
Thiéry
Publié le février 2, 2023
Bonjour, étant diabétique, j’aimerais savoir quel est le % de remboursement de la parodontie par sécurité sociale et les mutuelles ?? Merci
Sana Oris
Publié le février 15, 2023
Bonjour
Selon le traitement choisi il est possible d’être tout à fait remboursé.
Serge
Publié le novembre 27, 2022
Bonjour, Combien de temps est valable un bilan parodontologie? Merci
Sana Oris
Publié le janvier 3, 2023
Bonjour,
Le résultat sera valable quelques semaines ou quelques mois. La situation peut évoluer rapidement, il se peut que votre parodondiste vous conseille de le faire à nouveau si vous avez trop attendu avant de commencer votre traitement.
Christelle
Publié le novembre 3, 2022
Bonjour , faites vous les greffes osseuses?
Severine
Publié le mars 30, 2026
Bonjour, j’aimerai savoir si le bilan au microscope permet aussi de repérer d’éventuelles parasites responsable d’un pb de gingivite évolutive vers une Parodontie ? Type amibes par exemple ?
margaux.fleury@sanaoris.com
Publié le mars 31, 2026
Bonjour,
Oui, justement. L’objectif principal du bilan parodontal au microscope est de pouvoir analyser la plaque bactérienne en détail.
Cela permet d’identifier les micro-organismes présents (dont certains parasites comme les amibes), d’évaluer l’étendue de l’infection et surtout d’adapter le traitement de manière personnalisée, en fonction du profil bactérien de chaque patient.
C’est une approche qui permet de mieux comprendre l’origine de la gingivite ou de la parodontite, et donc d’agir de façon plus ciblée et efficace.
Bien à vous.
Sana Oris
Publié le janvier 30, 2023
Bonjour
Tout à fait. Vous pouvez prendez rendez-vous au 01 82 73 14 00.
Carmela
Publié le septembre 25, 2022
Bonjour, vous pouvez faire un bilan paradontal pour une personne diabétique ?
Sana Oris
Publié le octobre 12, 2022
Bonjour
Tout à fait, le diabète n’est pas une contre-indication au bilan parodontal.
Amri
Publié le juillet 1, 2022
Combien coûte un bilan parodontal ?
Louka
Publié le août 26, 2023
Bonjour,
Je souhaite faire un bilan pour les gencives. Je lis que le prix est de 120€. Est-ce qu’il est possible d’avoir un devis pour savoir combien ma mutuelle rembourse. Combien est remboursé par la sécurité sociale ?
Merci
Sana Oris
Publié le septembre 1, 2023
Bonjour,
Tout à fait, pour cela, je vous invite à prendre un rendez-vous pour une première consultation en parodontologie que vous puissiez expliquer votre cas ainsi qu’avoir un devis que vous pourrez ensuite envoyer à votre mutuelle. Si vous souhaitez plus d’informations je vous invite à appeler directement notre secrétariat (01 82 73 14 00 Paris 08 – 01 80 27 44 00 Paris 04).
Bonne journée
Sana Oris
Publié le juillet 6, 2022
Bonjour,
Lors du bilan parodontal, le dentiste effectue un prélèvement bactérien qu’il analyse au microscope lors de la consultation et qui permet d’établir un diagnostic précis. Ce bilan est facturé 90€