alignement-dentaire-clinique-dentaire-sana-oris-paris-8

Alignement dentaire

Le positionnement des dents est un élément essentiel pour l’harmonie du sourire.

Un mauvais alignement dentaire peut générer des complexes et des dysfonctionnements fonctionnels, notamment liés à la mastication. Des solutions peuvent cependant vous être proposées.

Pourquoi aligner ses dents ?

Les motivations de chaque patient diffèrent : certains souhaitent aligner leurs dents pour des raisons esthétiques, d’autres pour des raisons fonctionnelles. En effet, le mauvais alignement des dents peut causer des troubles fonctionnels tels que :

  • des tensions musculaires au niveau du cou ou des mâchoires
  • de l’apnée du sommeil
  • des difficultés à la mastication

Ainsi, pour des raisons esthétiques et médicales, votre praticien de santé peut vous suggérer d’avoir recours aux différentes techniques qui permettent de redresser les dents.

Alignement dentaire : quels sont les traitements ?

Il existe plusieurs solutions pour rétablir un bon alignement dentaire.

Nous proposons :

Les bagues métalliques

Les bagues métalliques sont des dispositifs utilisés pour aligner les dents, corriger les problèmes de morsure et améliorer le sourire. Elles se composent de petites pièces en acier inoxydable ou en alliage de métaux spéciaux collées sur chaque dent, reliées par un fil orthodontique qui déplace progressivement les dents. Les bagues métalliques sont robustes et résistantes à l’usure quotidienne.

Bagues en céramiques

Les bagues en céramique sont des appareils orthodontiques esthétiques fabriqués en céramique translucide ou en porcelaine. Elles alignent les dents en appliquant une pression progressive à l’aide d’un fil orthodontique mais sont sujettes aux taches, nécessitant une hygiene dentaire rigoureuse. Populaires chez les adultes et les adolescents soucieux de l’esthétique de leur sourire durant le traitement orthodontique.

Gouttière Invisalign

Invisalign est un traitement orthodontique utilisant des gouttières transparentes sur mesure pour corriger les problèmes dentaires. Contrairement aux appareils traditionnels, elles sont discrètes et amovibles. Lees patients portent une série de gouttières qui déplacent progressivement leurs dents. Ce traitement offre discrétion, amovibilité pour manger et se brosser les dents, ainsi qu’une facilité d’entretien.

Un diagnostic par un praticien expérimenté est nécessaire pour évaluer et discuter avec vous de la solution la plus adaptée.

Les résultats espérés après un alignement dentaire

La durée du traitement varie en fonction de chaque patient. Un suivi régulier est nécessaire tout au long du traitement.

Un suivi est aussi assuré après le traitement : il consiste en la pose de dispositifs de contention (fil et/ou gouttière) pour éviter une quelconque récidive ; puis de contrôles pour s’assurer qu’aucun problème bucco-dentaire ne vienne altérer les résultats obtenus.

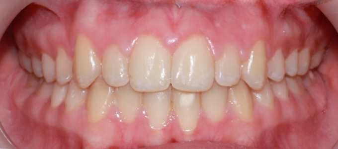
Bagues métalliques

Durée de traitement : 26 mois

Le prix cette technique : esthétique dentaire

A l’issue d’une première consultation, votre chirurgien-dentiste et son équipe vous renseigneront sur le traitement qui vous est le plus adapté, et vous communiqueront les tarifs correspondants.

Une question ?

Vous souhaitez avoir plus de renseignements ou prendre un rendez-vous ?
Posez votre question aux chirurgiens de l’établissement dentaire Sana Oris ou prenez un RDV