La désinfection est une étape du traitement de la maladie parodontale. Elle a pour but de désinfecter les poches parodontales et de diminuer l’inflammation de la gencive.
Désinfection LASER
Chaque pathologie parodontale nécessite un examen rigoureux de la bouche, qui détermine à quelle intervention recourir dans le parcours de soins. La désinfection au laser fait partie des interventions pratiquées par notre établissement et fait partie du plan de traitement parodontal.
Pourquoi faire une désinfection laser ?
Que traite la désinfection LASER ?
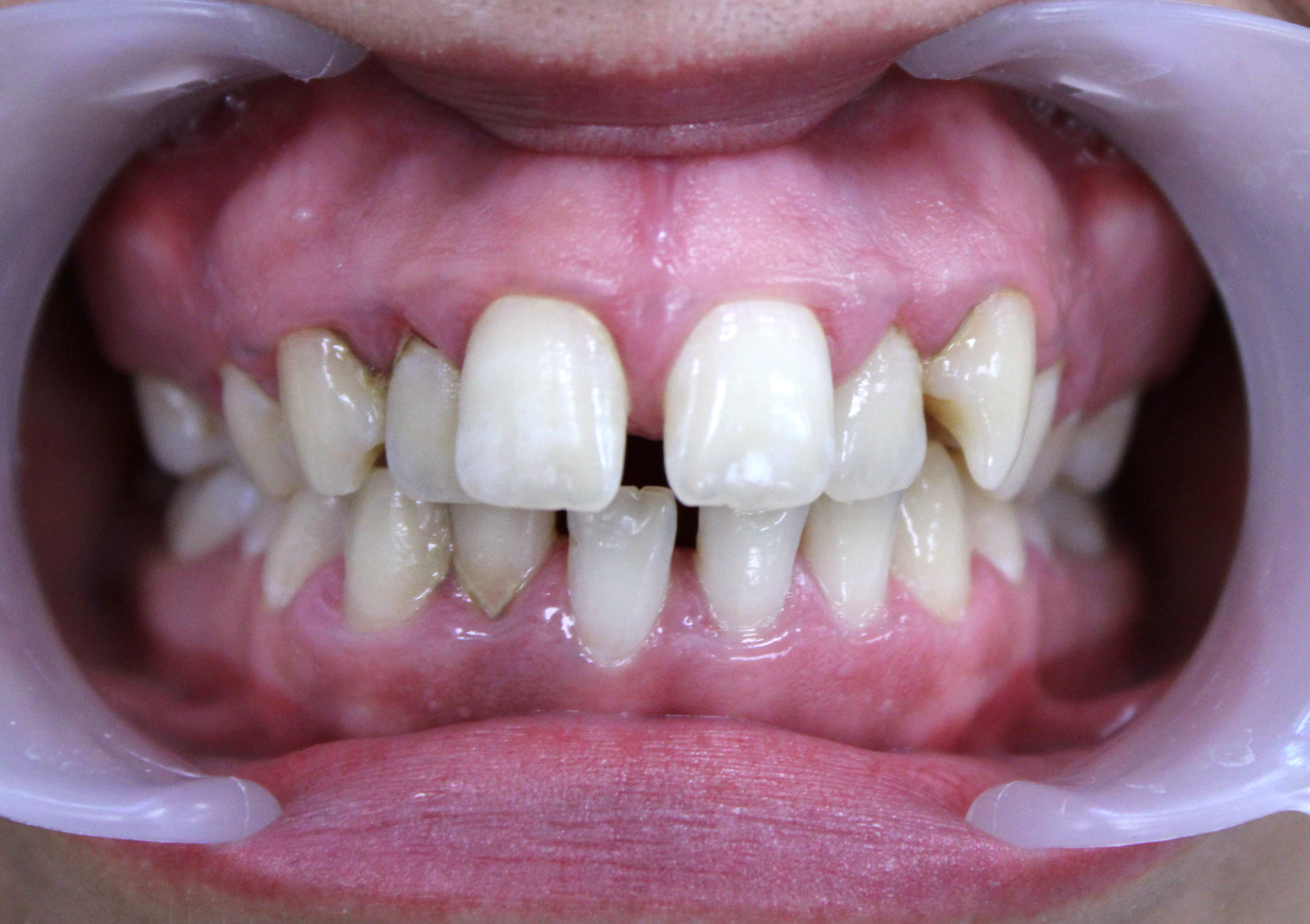
La gingivite et la parodontite des maladies bactériennes qui se traitent et se guérissent.
Elles conduisent à la perte des dents si elles ne sont pas traitées.
Certains signes doivent vous alerter et vous inciter à effectuer un bilan parodontal :
- Gencives rouges et/ou gonflées
- Saignement des gencives
- Mauvaise haleine (halitose)
- Rétractation des gencives
Cependant, les maladies parodontales pouvant évoluer à bas bruit, nous insistons sur l’importance d’un bilan parodontal régulier qui permettra de vérifier l’état de vos gencives.
Le déroulement d’une séance de désinfection au laser
Le traitement s’appuie sur une technologie innovante bien qu’elle ait fait ses preuves depuis plus de vingt ans, le laser. C’est un instrument de désinfection profonde des tissus parodontaux (gencives, ligament, os) sans avoir besoin de les décoller.
Le LASER permet de réaliser une désinfection sans douleur. Non chirurgical et non invasif, le LASER permet d’éradiquer efficacement les germes et bactéries pathogènes situés en profondeur.
Au sein de l’établissement dentaire Sana Oris, une équipe dédiée à la parodontie vous accompagne tout au long du traitement.
La désinfection LASER est-elle douloureuse ?
Nous mettons le confort des patients au cœur de notre approche parodontale : dans cette optique, le laser est un traitement non invasif.
La chirurgie, plus invasive, n’est nécessaire que dans certains cas et le traitement LASER permet souvent d’éviter des traitements lourds.
Les résultats du traitement parodontal
La maladie parodontale se soigne et se guérit. Le traitement parodontal qui comprend des désinfections laser permet d’éliminer efficacement les bactéries pathogènes responsables de la destruction progressive de l’os et de la gencive.
La désinfection LASER est une étape indispensable du traitement de la gingivite et de la parodontite qui permet de progresser dans le traitement. La désinfection LASER ne suffit pas à elle seule à guérir la maladie parodontale mais elle fait partie à part entière du traitement.
La durée d’un traitement parodontal varie selon la sévérité de la maladie.
Dans certains cas, des techniques de réparation du parodonte comme la greffe gingivale et les comblements osseux peuvent être envisagées, dès lors que la gencive est saine.
Le prix d’un traitement parodontal
Un devis sur mesure vous sera remis après le bilan parodontal, en vous indiquant un plan de traitement et le coût associé.
Une question ?
Vous souhaitez avoir plus de renseignements ou prendre un rendez-vous ?
Posez votre question aux chirurgiens de l’établissement dentaire Sana Oris ou prenez un RDV
Nos échanges avec les internautes
Soraya
Publié le octobre 28, 2025
Bonjour. Après le laser y’a t’il des impacts sur les repas, tels que manger des aliments non solides pendant un certain temps?
Sana Oris
Publié le décembre 3, 2025
Bonjour,
Non, il n’y a pas de restrictions alimentaires particulières après un traitement au laser. Vous pouvez reprendre vos repas normalement, sans avoir besoin de suivre une alimentation spécifique ou de privilégier des aliments non solides.
Si vous avez la moindre gêne ou question supplémentaire, n’hésitez pas à nous contacter.
Vous pouvez également prendre rendez-vous via Doctolib ou en appelant notre secrétariat (01 82 73 14 00 – Paris 08 / 01 80 27 44 00 – Paris 04).
Nous restons à votre disposition.
Catherine
Publié le mars 22, 2025
Bonjour,
Est-ce que l on peut sauver une dent qui commence à se déchausser avec un curetage au laser? Merci
Sana Oris
Publié le mars 31, 2025
Bonjour,
Le curetage et les séances de laser sont deux traitements distincts. Pour savoir si votre déchaussement peut être traité et stabilisé, il est essentiel de réaliser un bilan parodontal. Ce bilan permettra d’évaluer la santé de vos gencives et de déterminer la meilleure prise en charge pour la maladie parodontale. Nous vous invitons donc à prendre rendez-vous afin d’établir un diagnostic précis. Vous pouvez prendre rendez-vous directement sur Doctolib ou de contacter notre secrétariat par téléphone au 01 82 73 14 00 (Paris 08) – 01 80 27 44 00 (Paris 04).
Bonne journée
Amin
Publié le janvier 8, 2024
Bonjour dr, je vois dernièrement une décoloration bleue autour de mes dents à la surface de ma gencive, je souhaite savoir si le curetage dentaire nettoie en profondeur la zone entre la gencive et les dents ? Merci bien.
Sana Oris
Publié le février 5, 2024
Bonjour,
Dans votre situation, il serait préférable de prendre rendez-vous avec l’un de nos parodontologues. Cela nous permettra d’identifier la cause exacte de la décoloration et de déterminer le traitement le plus efficace. Une évaluation approfondie en personne nous aidera à comprendre l’origine de ce problème spécifique et à élaborer un plan de traitement adapté à vos besoins. Vous pouvez directement prendre rendez-vous sur Doctolib ou bien en appelant notre secrétariat au : 01 80 27 44 00 – Paris 04 / 01 82 73 14 00 – Paris 08.
Bonne journée
Kilian
Publié le octobre 24, 2023
Bonjour sana oris, je suis préoccupé par la progression de ma parodontite. svp le curetage parodontal fait face à ca ? et est ce qu’il prévient des dommages futurs ? si oui, je vais me déplacer à paris tout de suite, et je vous remercie pour vos éclaircissements sur ce traitement !
Sabrina
Publié le septembre 20, 2023
Bonjour Sana Oris, svp je suis sur le point de me marier et ma parodontite me préoccupe sur le plan esthétique. Pouvez-vous me parler des options pour améliorer rapidement l’apparence de mes gencives comme le traitement au laser avant le grand jour à paris ? merci d’avoir mentionné le prix estimé!
Sana Oris
Publié le septembre 25, 2023
Bonjour,
Je suis consciente des inquiétudes liées à l’aspect des gencives affectées par la parodontite, surtout en vue de votre mariage. Je vous conseille fortement de bénéficier d’un bilan parodontal, au tarif de 120€, afin d’évaluer le stade de la parodontite et de déterminer le traitement approprié, comprenant le nombre adéquat de séances de laser en fonction de votre situation. Cependant, il est important de noter que le traitement s’étalera sur plusieurs mois, car la parodontite ne se résout pas en une semaine.
Bonne journée
Charlène
Publié le septembre 19, 2023
bonjour, je travaille dans une banque à paris, et je compte me faire un curetage dentaire et partir au boulot directement, dois je me reposer la journée entière sans travailler ? merci de votre réponse
Sana Oris
Publié le septembre 27, 2023
Bonjour,
Vous pouvez tout à fait retourner directement au travail après votre rendez-vous. Le curetage consiste simplement à un nettoyage entre vos dents et vos gencives. Cela n’impactera pas votre état physique le reste de la journée.
Bonne journée
Mégane
Publié le septembre 18, 2023
Bonjour, svp je suis sur le point de me marier et ma parodontite me préoccupe sur le plan esthétique. Pouvez-vous me parler des options pour améliorer rapidement l’apparence de mes gencives comme le traitement au laser avant le grand jour à paris ? merci d’avoir mentionné le prix estimé!
Sana Oris
Publié le septembre 18, 2023
Bonjour,
Je comprends votre préoccupation concernant l’apparence de vos gencives en raison de votre parodontite. Il est important de noter que, au-delà de l’aspect esthétique, laisser une maladie parodontale non traitée comporte des risques. Une parodontite non traitée peut entraîner le déchaussement des dents, ce qui peut éventuellement conduire à leur perte.
Je vous encourage vivement à faire un bilan parodontal pour évaluer le stade de votre parodontite. À ce moment-là, nous pourrons établir un devis détaillé pour votre traitement au laser. Il est difficile de fournir un prix précis car chaque cas est unique, et le nombre de séances nécessaires pour éliminer votre parodontite variera. C’est pourquoi le bilan parodontal est essentiel, car il permettra d’évaluer la progression de la maladie.
Bonne journée
Luc
Publié le février 17, 2023
Merci beaucoup pour ces informations mais je n’arrive pas à comprendre la différence entre un curetage dentaire et un surfaçage ? et pour guérir la parodontite, quel est le meilleur traitement ?
Sana Oris
Publié le avril 6, 2023
Bonjour
Il s’agit dans un premier lieu de desinfecter les gencives et de se débarasser des bactéries. Cela se fait grâce à un protocole précis et des séances de Laser.
Fantine
Publié le novembre 13, 2022
Je dois subir un curetage de toutes les dents. Et à la lecture des différents postes et forum sur internet, je commence à avoir très peur des suites esthétiques.
Sana Oris
Publié le janvier 30, 2023
Bonjour
Pourquoi devez vous faire un curetage ? Le curetage n’est pas toujours recommandé et il existe d’autres solutions. Un bilan parodontal permettra d’établir un plan de traitement précis.
Claire
Publié le novembre 3, 2022
Bonjour, Pour guérir la parodontite agressive, quels sont les meilleurs traitements ? Que pensez-vous d’un traitement au laser ou de la chirurgie parodontale ?
Sana Oris
Publié le janvier 30, 2023
Le traitement laser permet de résoudre le probleme à la source en éliminant les bactéries responsables de l’infection. La chirurgie parodontale permet de corriger une gencive trop retractée par exemple.
Cordialement
Claude
Publié le octobre 25, 2022
Bonjour, J’ai 41 ans et je souffre de parodontie depuis quelques années, Je dois me faire faire un surfaçage ? ? Est-ce la même chose que le curetage ?
Sana Oris
Publié le janvier 30, 2023
Bonjour,
Il n’est pas recommandé de faire un curetage sur des gencives infectées. Il faut d’abord soigner la cause infectueuse de la parodontite grâce à un traitement par désinfection laser et un processus d’hygiène précis.
Vous pouvez prendre rendez-vous avec un chirurgien dentiste dédié à la parodontie au sein de notre établissement.