Dévitaliser une dent | Traitement | Clinique dentaire Sana Oris | Paris 8

Dévitaliser une dent

La dévitalisation d’une dent est un traitement endodontique minutieux. Il doit être réalisé en pratique par un chirurgien-dentiste expérimenté disposant du matériel adéquat. Pour les cas les complexes, nous recommandons un praticien uniquement dédié à l’endodontie, ayant ainsi développé une expertise dans le domaine. Son expérience et ses compétences garantissent alors une dévitalisation d’excellence, même sur les cas les plus difficiles.

Dévitaliser une dent : les causes

La dévitalisation est un processus qui consiste à retirer de l’intérieur de la dent la pulpe dentaire, un tissu charnu riche en vaisseaux et en nerfs. L’objectif est de nettoyer et de désinfecter les canaux radiculaires de la dent, en vue d’éliminer une infection ou une inflammation touchant le nerf de la dent (pulpite).

Les causes de pulpite dentaire qui peuvent mener à l’inflammation/infection de la dent sont multiples, notamment :

  • une carie trop profonde ;
  • un traumatisme (suite à un choc) ;
  • une fêlure ;
  • fracture de la dent ;
  • une nécrose.

Une dévitalisation est conseillée lorsqu’il y a un risque que l’infection, initialement cantonnée à l’intérieur de la dent, s’étende à l’os maxillaire et aux tissus mous qui entourent la dent.

Des épisodes plus ou moins douloureux peuvent alors s’accompagner d’une destruction de l’os et d’abcès. La douleur peut être parfois insoutenable en cas de collection purulente, car tous les nerfs de la pulpe dentaire sont alors écrasés par ce pus qui ne peut ni s’échapper, ni se résorber.
C’est pourquoi nous insistons sur l’importance de la consultation annuelle préventive, car l’infection de la pulpe de la dent peut également progresser à bas bruit.

Le déroulement d’une dévitalisation dentaire

Au sein de l’établissement dentaire Sana Oris, notre vision holistique et pluridisciplinaire vous permet de bénéficier d’une approche experte. Avant toute dévitalisation, il est nécessaire de réaliser un bilan parodontal pour constater l’étendue de l’inflammation et déterminer précisément sa cause.
Cet examen se déroule de la façon suivante :

  1. L’entretien avec le praticien permet d’identifier vos antécédents, vos habitudes de brossage, vos facteurs de risque, vos craintes, etc. ;
  2. L’examen clinique, esthétique et fonctionnel de toute la cavité bucco-gingivale pour avoir une vue d’ensemble de tous les potentiels problèmes parodontaux et dentaires ;
  3. L’examen microscopique de la dent et l’imagerie médicale complètent si besoin le diagnostic clinique, notamment en cas d’obturation préalable sur une dévitalisation imparfaite. Nous sommes équipés d’un matériel haut-de-gamme permettant des diagnostics très précis (radiographie, Cône Beam, microscope, …) ;
  4. La remise d’un compte-rendu vous renseigne sur la nature de l’intervention qui a été effectuée et fournit un devis individualisé indiquant le montant de la dévitalisation si celle-ci s’impose.

Dans les cas où l’inflammation de la pulpe nécessite une dévitalisation, plusieurs étapes sont nécessaires, sous anesthésie locale :

  • accès aux canaux de la dent grâce à l’ouverture de la chambre pulpaire par fraisage ;
  • élimination rigoureuse et complète de la pulpe dentaire ;
  • nettoyage et désinfection par lithotritie ;
  • mise en forme minutieuse des canaux à l’aide d’instruments très fins ;
  • scellement des canaux par des matériaux biocompatibles pour en assurer l’étanchéité parfaite et totale ;
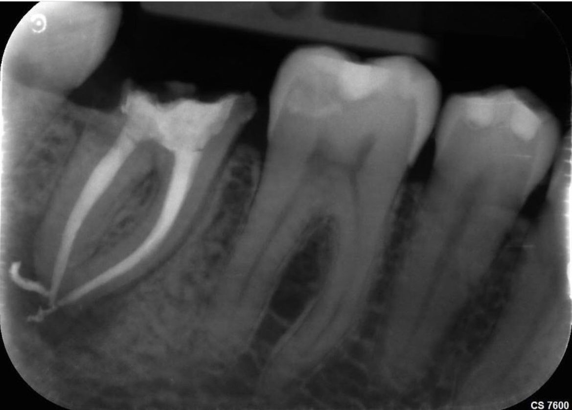
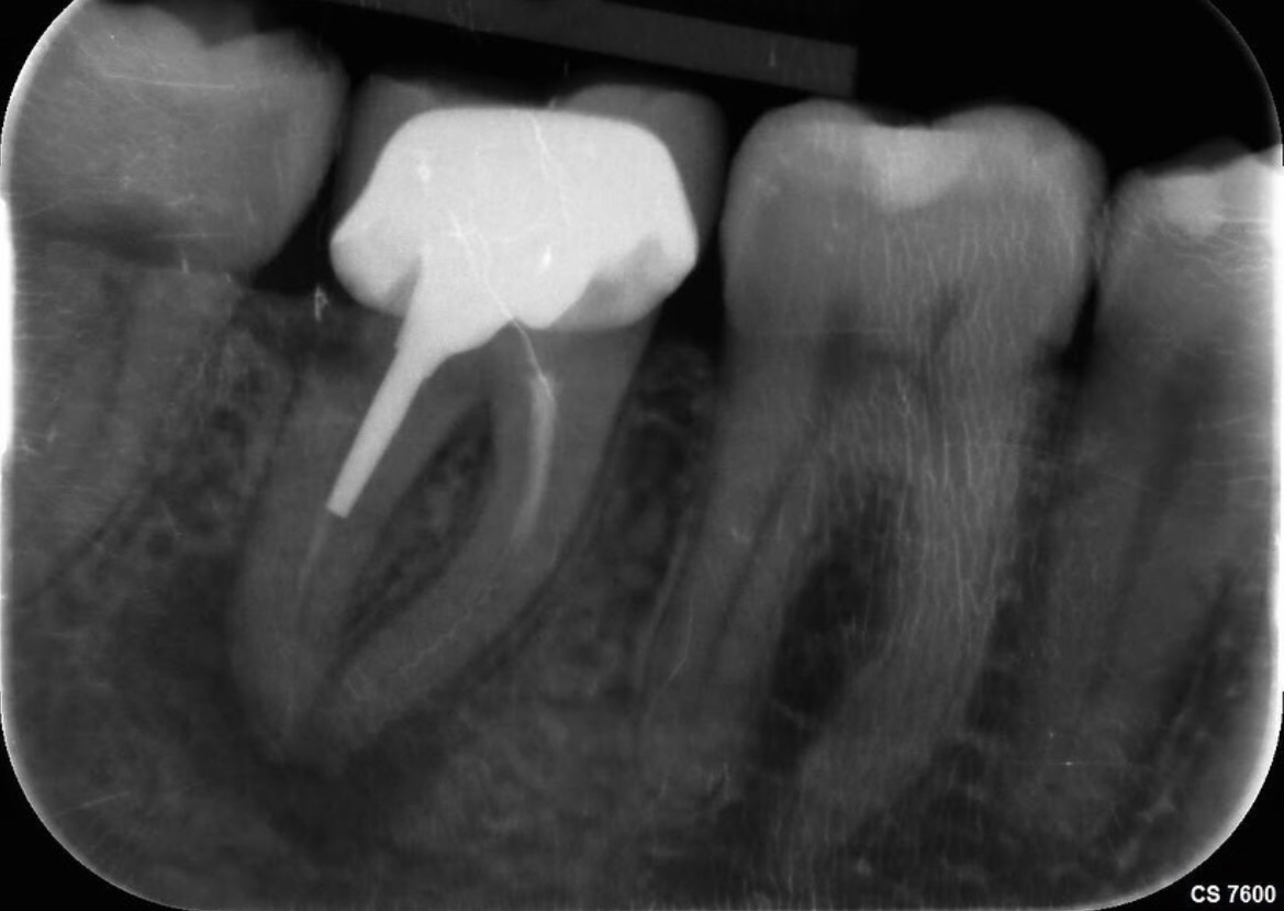
  • vérification de la qualité de l’obturation par radiographie haute définition.

La plupart de nos praticiens sont formés aux techniques de dévitalisation dentaire. Pour les cas les plus complexes, l’un des nos praticiens pratique l’endodontie exclusive.

Une dévitalisation se traduit par la suppression des tissus enflammés/infectés, en nettoyant les canaux situés à l’intérieur de la dent de toutes les bactéries et les débris organiques. Une fois désinfectés, ces canaux sont remplis d’un matériau biocompatible qui va assurer leur étanchéité parfaite et empêcher une nouvelle infection. La dévitalisation ne donne pas une dent “morte”, elle la rend simplement insensible. Il faut donc veiller à conserver sa vitalité, avec notamment un parodonte sain.

Nous accordons une grande importance aux trois piliers du succès d’une dévitalisation :

  • l’expertise du praticien, connaissances médicales et expérience passée se complétant ;
  • l’attention minutieuse que le praticien porte à chaque situation individuelle : il ne soigne pas simplement une dent, il soigne un patient ;
  • la qualité du matériel utilisé (plateforme technique complète avec digue, aides optiques, microscope…)

La qualité des procédures de dévitalisation de l’établissement dentaire Sana Oris permet d’assurer une bonne obturation de la dent qui peut durer toute une vie. Un traitement endodontique correctement réalisé assure donc la santé des racines et la pérennité de la dent sur l’arcade.
La dévitalisation permet ensuite à nos praticiens de proposer si besoin l’implantation de couronnes, réalisées au sein même de l’établissement pour un meilleur suivi et une plus grande satisfaction des patients.
Si la dent prend par la suite une légère coloration grisâtre, votre spécialiste de santé dentaire vous proposera différentes techniques spécifiques de blanchiment d’une dent dévitalisée, comme un blanchiment interne.

Les précautions à respecter après une dévitalisation dentaire

Pour bénéficier des résultats de la dévitalisation, quelques précautions sont nécessaires :

  • En cas d’obturation temporaire, il est nécessaire d’attendre 1 heure avant de manger et d’éviter de le toucher avec la langue, afin de permettre à l’obturation de durcir ;
  • Avant l’obturation définitive, les aliments trop durs ou collants doivent être évités afin de ne pas léser la dent définitive ou d’atteindre l’obturation temporaire ;
  • Il est nécessaire de respecter le traitement médicamenteux prescrit par votre chirurgien-dentiste ;
  • En cas de douleurs persistantes ou d’impossibilité de fermer la bouche, n’hésitez pas à contacter notre équipe : le secrétariat se chargera de prévoir un rendez-vous rapide avec votre chirurgien-dentiste pour traiter rapidement tout potentiel problème ;
  • Si le chirurgien-dentiste a procédé à une obturation temporaire, il est nécessaire de reprendre rapidement rendez-vous pour réaliser une obturation définitive qui chassera tout risque de réinfection.

Les résultats d’une dévitalisation dentaire

Après la dévitalisation, votre chirurgien-dentiste vous conseillera la meilleure technique de reconstruction dentaire en fonction de votre situation, parmi les nombreuses options disponibles : obturations composites, Inlay, Onlay, couronnes…
Le choix sera orienté par les motifs de la dévitalisation et l’ampleur de la perte de substance.
Au sein de l’établissement dentaire Sana Oris, la précision du geste médical et la qualité du matériel “Made in France” utilisé permettent de garantir une dévitalisation réussie.

La consultation annuelle de prophylaxie fait ensuite partie intégrante du traitement d’une dévitalisation : elle permet d’assurer la pérennité du traitement à long terme et de détecter précocement toute anomalie.

Dévitalisation 

Il s’agit de nettoyer et obturer l’intérieur de la dent pour éliminer toute infection, suivi d’une reconstitution coronaire pour rétablir l’intégrité de la den

Dévitaliser une dent : le prix

Le tarif pour dévitaliser une dent vous sera communiqué dans le compte-rendu initial, à l’issue de votre premier bilan parodontal.

La dévitalisation dentaire chez Sana Oris

Titulaire d’un CES en odontologie conservatrice et endodontie, Le docteur Choukroun se consacre aux différents traitements de préservation de la dent, et notamment sa dévitalisation.

L’établissement dentaire Sana Oris est équipée d’un microscope optique permettant d’effectuer des soins de dévitalisation dentaire très précis. Notre endodontiste travaille en équipe avec nos dentistes exerçant l’implantologie ou la parodontie. Cela permet une prise en charge globale et optimale de tous nos patients.

Une question ?

Vous souhaitez avoir plus de renseignements ou prendre un rendez-vous ?
Posez votre question aux chirurgiens de l’établissement dentaire Sana Oris ou prenez un RDV