Aller directement au contenu
Sana Oris logo

    Contact

    Vous souhaitez nous contacter

    Contacter Sana Oris Paris 08

    Contactez-nous

    Contacter Sana Oris Paris 04

    Contactez-nous
    • Accueil
    • Nos Etablissements
      • Sana Oris Roosevelt
      • Sana Oris Paris 08
      • Notre équipe Sana Oris Paris 08
      • Sana Oris Marais
      • Sana Oris Paris 04
      • Notre équipe Sana Oris Paris 04
      • Nos valeurs
      • Parcours patient – Téléconsultations
      • Equipement / Plateau technique
      • Nous rejoindre
      • Tarifs et remboursement
      • Prise en charge psychologique
    • Les besoins / Les pathologies
      • Soin des dents
      • Abcès dentaire
      • Gingivite
      • Rage de dents
      • Mauvaise haleine ou halitose
      • Parodontite
      • Saignement gencive
      • Dents sensibles
      • Esthétique du sourire
      • Dents jaunes
      • Dent cassée
      • Edentation
      • Alignement dentaire
    • Parodontie (Prévenir)
      • Bilan parodontal
      • Désinfection au laser
      • Greffe de gencive
      • Brossage des dents et soins
    • Tous les soins (Guérir)
      • Parodontologie/ Parodontie
      • Endodontie
      • Stomatologie / Chirurgie
      • Implantologie
      • Orthodontie
      • Esthétique du sourire
      • Dermatologie buccale
      • Pédodontie
      • Chirurgie (ATM) 
      • Chirurgie orthognathique
      • Chirurgie gingivale
    • Esthétique du sourire (Sourire)
      • Blanchiment dentaire
      • Facettes dentaires
      • Prothèses dentaires
      • Orthodontie
      • Planification numérique du sourire
    • Sana Oris Kids
      • Notre plateau technique
      • 1ère consultation chez l’enfant
      • Premières Dents de Lait
      • Soins Dentaires pour Enfants
      • Urgences dentaires chez les enfants
    • Sana Oris Esthétique
      • Besoins
      • Rides du visage
      • Rajeunissement de la zone péribuccale
      • Relâchement du visage
      • Cernes et contour de l’œil
      • Déshydratation cutanée
      • Traitements
      • Prévention des rides d’expression
      • Skinboosters
      • Polynucléotides
      • Inducteurs de collagène
      • Acide hyaluronique
      • Tarifs
    • Sana Academy
    • Blog dentaire
    • Prendre rendez-vous
    • Urgences dentaires
    • Médias
      • Presse
      • Vidéos
      • Témoignages patients
    Sana Oris Paris 08
    +33 1 82 73 14 00 +33 1 82 73 14 00
    contact@sanaoris.com contact@sanaoris.com
    53 Av. Franklin Delano Roosevelt, Paris, France 53 Av. Franklin Delano Roosevelt, Paris, France
    Sana Oris Paris 04
    +33 1 80 27 44 00 +33 1 80 27 44 00
    marais@sanaoris.com marais@sanaoris.com
    13 Rue Jean Beausire, 75004 Paris, France 13 Rue Jean Beausire, 75004 Paris, France
    Sana Oris Kids
    +33 1 80 27 44 00 +33 1 80 27 44 00
    marais@sanaoris.com marais@sanaoris.com
    12 Rue Jean Beausire, 75004 Paris, France 12 Rue Jean Beausire, 75004 Paris, France
    Sana Oris Esthétique
    +33 1 80 27 44 00 +33 1 80 27 44 00
    marais@sanaoris.com marais@sanaoris.com
    13 Rue Jean Beausire, 75004 Paris, France 13 Rue Jean Beausire, 75004 Paris, France
    1. Sana Oris
    2. I
    3. Guérir
    4. I
    5. Le blanchiment interne : une solution ciblée pour les dents dévitalisées

    Le blanchiment interne : une solution ciblée pour les dents dévitalisées

    Publié le septembre 1, 2025

    Guérir

    Lorsque l’on pense au blanchiment des dents, on imagine souvent un traitement global pour éclaircir l’ensemble du sourire. Pourtant, il arrive qu’une seule dent devienne foncée, le plus souvent après un traumatisme ou à la suite d’un traitement endodontique. Cette situation est courante : la dent, dite dent dévitalisée, peut progressivement prendre une teinte grise, jaunâtre ou brunâtre, donnant l’impression d’une dent noire après dévitalisation. Ce changement, bien qu’isolé, peut être source de gêne esthétique importante, surtout lorsqu’il concerne une dent visible, comme une incisive.

    À Sana Oris, le Dr Choukroun propose une solution spécifique et conservatrice : le blanchiment interne, aussi appelé « walking bleach ». Il s’agit d’un protocole ciblé qui permet d’effectuer un véritable éclaircissement dentaire interne afin de redonner une couleur plus naturelle à la dent concernée, sans recourir immédiatement à des solutions prothétiques plus invasives comme la facette ou la couronne.

    Pourquoi une dent dévitalisée devient-elle noire ?

    Beaucoup de patients se posent la question : pourquoi une dent dévitalisée devient-elle noire ? Après une dévitalisation (traitement endodontique), la pulpe dentaire est retirée. Or, avec le temps, des résidus de tissus et des pigments peuvent rester emprisonnés à l’intérieur de la dent et provoquer une décoloration interne. Ce phénomène est donc très différent d’une coloration superficielle liée à l’alimentation, au tabac ou au vieillissement naturel de l’émail.

    La dent noire après dévitalisation résulte d’une modification interne de la dentine, invisible de l’extérieur au départ, mais qui finit par ternir le sourire. C’est pourquoi les techniques classiques de blanchiment externe appliquées sur l’émail ne suffisent pas : il faut une approche spécifique, agissant de l’intérieur.

    Qu’est-ce que le blanchiment interne ?

    Le blanchiment dentaire d’une dent dévitalisée consiste à insérer un agent éclaircissant directement dans la chambre pulpaire de la dent. Cette méthode, appelée blanchiment interne ou blanchiment dent morte, agit de l’intérieur et permet d’éliminer les pigments responsables de la décoloration.

    Ce traitement est indiqué lorsqu’une seule dent présente une teinte anormale par rapport aux autres. L’objectif est de restaurer une harmonie du sourire tout en conservant la dent naturelle.

    Il est important de distinguer la différence entre blanchiment interne et externe :

    • Le blanchiment externe agit à la surface des dents, sur l’émail, et vise l’ensemble du sourire.
    • Le blanchiment interne cible uniquement une dent dévitalisée foncée, en agissant dans sa structure interne.
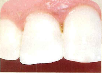
    Avant
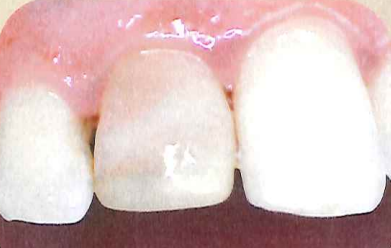
    Après

    Les étapes du traitement

    Le protocole mis en place suit des étapes précises afin de garantir efficacité et sécurité.

    1. Contrôle du traitement radiculaire
      Avant tout, le praticien vérifie l’étanchéité du traitement de canal. Si nécessaire, un nouveau scellement profond est effectué pour protéger la racine. Cette étape est essentielle afin d’éviter toute infiltration et de sécuriser le blanchiment.

    2. Application du gel blanchissant
      Un produit éclaircissant, souvent à base de perborate de sodium ou de peroxyde d’hydrogène faiblement concentré, est placé dans la chambre pulpaire. Il agit en profondeur sur les pigments.

    3. Fermeture provisoire
      La dent est refermée temporairement avec un matériau provisoire. Le gel reste en place plusieurs jours (7 à 15 jours en moyenne), selon l’évolution de la teinte.

    4. Réévaluation et ajustement
      La teinte est ensuite contrôlée. Si nécessaire, le gel est renouvelé une ou plusieurs fois jusqu’à obtenir un éclaircissement satisfaisant. Chaque cas est unique : l’ancienneté de la décoloration et la structure dentaire influencent le résultat.

    5. Restauration finale
      Lorsque la couleur est jugée harmonieuse, la dent est scellée définitivement. Dans certains cas, si la dent présente des fragilités, un complément esthétique (composite, facette, couronne) peut être proposé.

    Est-ce que le blanchiment interne est durable ?

    Une question revient souvent : est-ce que le blanchiment interne est durable ?

    La réponse est oui, dans la grande majorité des cas, les résultats se maintiennent plusieurs années. Cependant, comme tout traitement esthétique, un léger réassombrissement peut apparaître avec le temps. Il reste alors possible d’effectuer une retouche. Le taux de succès est élevé, avec une efficacité estimée entre 80 et 90 % à court terme.

    Il faut aussi savoir que le résultat dépend de plusieurs facteurs :

    • L’âge de la décoloration (plus elle est ancienne, plus le traitement peut demander de séances).
    • La réaction propre de la dent au produit éclaircissant.
    • La qualité du traitement endodontique préalable.

    Le blanchiment interne, une solution esthétique durable

    Le blanchiment dentaire d’une dent dévitalisée est une méthode efficace, douce et conservatrice pour traiter une dent grise ou noire. Contrairement au blanchiment externe, il agit directement dans la dent et permet de redonner luminosité et harmonie au sourire sans recourir à des restaurations invasives.

    Chez Sana Oris, le Dr Choukroun met en avant cette technique lorsqu’il est possible de préserver la dent naturelle. Grâce au blanchiment interne, il devient possible d’améliorer significativement l’esthétique du sourire tout en respectant la structure dentaire.

    Pour tous ceux qui se demandent comment blanchir une dent dévitalisée, cette approche constitue une solution durable et fiable, adaptée aux besoins de chacun.

    Une méthode douce et conservatrice

    Le blanchiment interne est une solution pour une dent grise ou noire qui présente plusieurs avantages :

    • Il ne touche pas aux dents voisines.
    • Il ne nécessite pas d’ablation de tissus sains, contrairement à la facette ou à la couronne.
    • Il est réversible et respectueux de la structure dentaire.

    Pour beaucoup de patients, c’est la meilleure solution esthétique pour une dent dévitalisée, car elle permet de conserver la dent tout en améliorant significativement l’aspect du sourire.

    Dr. Rebecca Choukroun

    2025 : Diplôme Inter Universitaire d’Endodontie – Université Gênes

    2023 : Advanced class Endodontie – formation Expert – Endoacadémie

    2021 : C.E.S. Odontologie conservatrice et endodontie – Université Paris Diderot – Paris 7

    2020 : Diplôme d’État de docteur en chirurgie dentaire – Université Paris 7 – Lariboisière

    Prendre rendez-vous

    Prenez contact avec L'Établissement Dentaire Sana Oris :

    +33 1 82 73 14 00 +33 1 82 73 14 00

    contact@sanaoris.com

    Article rédigé par L'Établissement Dentaire Sana Oris

    Notre Établissement Dentaire Sana Oris est spécialisée dans les soins et dans la prévention des pathologies dentaires. Notre équipe de chirurgiens vous renseigne sur les différents actes et les bonnes pratiques afin de préserver un beau sourire.

    En savoir plus sur L'Établissement Dentaire Sana Oris

    Cet article vous a plu ?

    Partagez-le :

    À lire également :

    • Cas implantaire complexe : une prise en charge au-delà des limites conventionnelles
    • Peut-on éviter l’extraction grâce à l’endodontie ?
    • Longévité et santé bucco-dentaire : préserver son sourire pour mieux vieillir

    Catégories

    • Tous
    • Formation
    • Guérir
    • Kids
    • Prévenir
    • Sourire

    Laissez votre commentaire Annuler la réponse

    Le champ n’est pas valide
    Le champ n’est pas valide
    Le champ n’est pas valide
    Si vous souhaitez être notifié d’un retour sur votre commentaire, veuillez renseigner le champ “E-mail”.

    SUIVEZ-NOUS
    Retrouvez-nous
    Contactez-nous
    • Nos Etablissements
    • Les besoins / Les pathologies
    • Parodontologie (Prévenir)
    • Tous les soins (Guérir)
    • Esthétique du sourire (Sourire)
    • Actualités
    • Témoignages patients
    • Création Agence Antipodes Médical ©
    • Déclaration de confidentialité
    • Terms and Conditions

    Rappelez-moi

    Rappelez-moi Contact

    Vous souhaitez prendre
    rendez-vous chez Sana Oris

    Choisissez l’établissement dentaire près de chez vous

    PRENDRE RDV

    Sana Oris Paris 08

    PRENDRE RDV

    Sana Oris Paris 04

    Téléphonez nous ou être rappelé

    Selectionnez un établissement pour visualiser le numéro de téléphone

    +33 1 82 73 14 00 +33 1 82 73 14 00
    contactez nous contactez nous

    Vous souhaitez être rappelé ?

    Être rappelé

    Être rappelé

    +33 1 80 27 44 00 +33 1 80 27 44 00
    contactez nous contactez nous

    Vous souhaitez être rappelé ?

    Être rappelé

    Être rappelé

    +33 1 80 27 44 00 +33 1 80 27 44 00
    contactez nous contactez nous

    Vous souhaitez être rappelé ?

    Être rappelé

    Être rappelé

    +33 1 80 27 44 00 +33 1 80 27 44 00
    contactez nous contactez nous

    Vous souhaitez être rappelé ?

    Être rappelé

    Être rappelé

    Téléphonez nous ou être rappelé

    Confiez nous votre numéro de téléphone et votre adresse mail et nous vous rappelons dès que possible !

      Merci pour votre message

      Dates de la formation

      Le 30, 31 mars & 1er avril 2026 à Paris

      Inscrivez-vous Découvrir la formation

      informations pratiques

      Sélectionnez un établissement pour visualiser l’adresse, les horaires et accès

      ADRESSE
      53 Av. Franklin Delano Roosevelt, Paris, France 53 Av. Franklin Delano Roosevelt, Paris, France
      HORAIRES
      Du lundi au vendredi de 08:30 à 20:00 Le samedi de 09:00 à 17:30
      Accès
      Ligne 1, 9 - Franklin Roosevelt Ligne 9 - Saint Philippe du Roule
      RER C - Invalides
      Parking Zenpark Champs-Elysées - Roosevelt - 47 Avenue Franklin Delano Roosevelt, 75008 Paris
      ADRESSE
      13 Rue Jean Beausire, 75004 Paris, France 13 Rue Jean Beausire, 75004 Paris, France
      HORAIRES
      Du lundi au vendredi de 08:30 à 20:00 Le samedi de 09:00 à 17:30
      Accès
      Ligne 1, 5, 8 - Bastille Ligne 5 - Bréguet / Sabin
      RER A, D - Gare de Lyon
      Place - de la Bastille
      ADRESSE
      12 Rue Jean Beausire, 75004 Paris, France 12 Rue Jean Beausire, 75004 Paris, France
      HORAIRES
      Du lundi au vendredi de 09 à 20:30
      Accès
      Ligne 1, 5, 8 - Bastille
      RER A, D - Gare de Lyon
      ADRESSE
      13 Rue Jean Beausire, 75004 Paris, France 13 Rue Jean Beausire, 75004 Paris, France
      HORAIRES
      Du lundi au vendredi de 08:30 à 20:00 Le samedi de 09:00 à 17:30
      Accès
      Lignes 1, 5, 8 - Bastille Ligne 5 - Bréguet / Sabin
      RER A, D - Gare de Lyon
      Place - de la Bastille

        Vous souhaitez que nous vous rappelions ?

        Confiez-nous votre numéro de téléphone et votre adresse mail et nous vous rappelons dès que possible !

        Lieu :

        Gérer le consentement

        Pour offrir les meilleures expériences, nous utilisons des technologies telles que les cookies pour stocker et/ou accéder aux informations des appareils. Le fait de consentir à ces technologies nous permettra de traiter des données telles que le comportement de navigation ou les ID uniques sur ce site. Le fait de ne pas consentir ou de retirer son consentement peut avoir un effet négatif sur certaines caractéristiques et fonctions. Continuer sans accepter

        Fonctionnel Toujours activé
        Le stockage ou l’accès technique est strictement nécessaire dans la finalité d’intérêt légitime de permettre l’utilisation d’un service spécifique explicitement demandé par l’abonné ou l’utilisateur, ou dans le seul but d’effectuer la transmission d’une communication sur un réseau de communications électroniques.
        Préférences
        Le stockage ou l’accès technique est nécessaire dans la finalité d’intérêt légitime de stocker des préférences qui ne sont pas demandées par l’abonné ou l’utilisateur.
        Statistiques
        Le stockage ou l’accès technique qui est utilisé exclusivement à des fins statistiques. Le stockage ou l’accès technique qui est utilisé exclusivement dans des finalités statistiques anonymes. En l’absence d’une assignation à comparaître, d’une conformité volontaire de la part de votre fournisseur d’accès à internet ou d’enregistrements supplémentaires provenant d’une tierce partie, les informations stockées ou extraites à cette seule fin ne peuvent généralement pas être utilisées pour vous identifier.
        Marketing
        Le stockage ou l’accès technique est nécessaire pour créer des profils d’utilisateurs afin d’envoyer des publicités, ou pour suivre l’utilisateur sur un site web ou sur plusieurs sites web ayant des finalités marketing similaires.
        • Gérer les options
        • Gérer les services
        • Gérer {vendor_count} fournisseurs
        • En savoir plus sur ces finalités
        Voir les préférences
        • {title}
        • {title}
        • {title}